• CONTACT

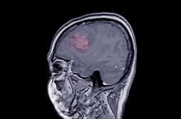
tumeur

EN DIRECT

LES MALADIES

J'AI MAL

J ai Mal Bras et mains Bras et mains Tête et cou Torse et haut du dos Jambes et pied

SYMPTÔMES