C’est un espoir pour tous les sujets à risques. Une équipe de l’Inserm a trouvé un moyen de détecter les signes précoces du cancer du poumon, des années avant qu’il ne se déclare cliniquement. Ces résultats très encourageants ont été publiés dans la revue Plos One.
Jusqu’ici, on ne pouvait déceler le cancer du poumon qu’au moyen de l’imagerie médicale. Problème : à ce stade-là, il est en général trop tard. Faute d’un dépistage précoce, le pronostic vital est de l’ordre de quelques mois…
>> Consulter notre fiche sur le Cancer du poumon
Des cellules précurseurs du cancer
L’équipe de scientifiques a étudié une cohorte de 245 personnes à risques de développer des cancers. Certains étaient de très gros fumeurs ; d’autres (168 sujets) étaient atteints de BPCO (Bronchopathie Chronique Obstructive), dont la première cause est le tabagisme. Objectif : déceler si des cellules cancéreuses circulaient dans leur sang.
En effet, des cellules cancéreuses sont présentes dans le sang dès les toutes premières étapes de la formation des tumeurs invasives, et avant même que celles-ci soient visibles au scanner. Seulement, les tests traditionnels ne parviennent pas à les identifier. « Ces cellules sont très rares – 2 ou 3 pour 50 milliards de cellules, soit 10 mL de sang », explique le Pr Paul Hofman, qui a dirigé l’étude. En outre, ces cellules sont hétérogènes et fragiles, et donc très difficiles à extraire sans biais ni perte.
Ecoutez le Pr Paul Hofman, chercheur à l'Inserm: « Il faut des tests très spécifiques car nous n’avons pas que des cellules sanguines dans le sang ».
Filtrer le sang comme dans une machine à café
Pour réussir à isoler ces cellules, les chercheurs ont utilisé un test sanguin novateur, voire révolutionnaire, fruit d’une longue recherche menée en France. Aujourd’hui, c’est la société Rarecells qui le commercialise. Il permet, justement, d’identifier efficacement ces cellules tumorales circulantes.
« Ce test fonctionne un peu comme une machine à café. On effectue un prélèvement à l’aide d’une prise de sang. Puis on passe ce sang dans un filtre de polycarbonate. Toutes les cellules sanguines descendent, et seules les cellules cancéreuses restent à la surface, car elles sont plus volumineuses », précise Paul Hofman.
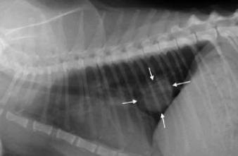
Parmi la cohorte, cinq personnes avaient des cellules cancéreuses circulantes détectées grâce au test, alors même que l’imagerie ne révélait aucune tumeur. Ces personnes ont été suivies régulièrement. Des très petites tumeurs (nodule) ont commencé à se former au bout de deux ans, en moyenne, après le test sanguin (entre 1 an et 4 ans selon les sujets). L’analyse de ces nodules a confirmé le diagnostic d’un cancer du poumon.
Le cancer éradiqué ?
Immédiatement, les médecins ont donc opéré les patients, avec un succès inespéré. En effet, un an après l’intervention, aucun n’a manifesté de signe de récidive… Ce qui laisse penser que chez ces personnes, le cancer a été définitivement éradiqué. De plus, les sujets dont les tests de cellules cancéreuses étaient négatifs n’ont pas développé de nodule par la suite.
Bien entendu, il faudra encore quelques années de suivi pour écarter le risque de récidive. Mais les auteurs de l’étude se montrent enthousiastes. « La détection des cellules cancéreuses via ce test sanguin pourrait jouer un rôle clé dans la précocité de l’intervention chirurgicale, permettant ainsi de viser l’éradication précoce de la localisation primitive du cancer », écrivent-ils.
Et ces résultats tombent particulièrement bien. Car le cancer du poumon est l’un des plus meurtriers. La survie des patients à un an est estimée à 40%. A cinq ans, elle n’est plus que de 16%... En outre, seuls 15% de ces cancers sont diagnostiqués à un stade de maladie localisée.
Reste une donnée à prendre en compte : le coût de ce test, non communiqué pour le moment. « Mais c’est raisonnable », estime le chercheur. « Le but non avoué de cette étude est bien sûr de développer le test de diagnostic précoce du cancer du poumon dans d’autres centres. Mais il faut lancer un projet de recherche. C’est dans les tuyaux ». Croisons les doigts !
Ecoutez le Pr Paul Hofman : « Nous avons déjà un projet national pour développer ces tests auprès des patients atteints de cancers du poumon, afin de cibler les thérapies ».



