- La femme, qui avait un cathéter dans la gorge pour respirer, a été victime d'une erreur humaine pendant le test de dépistage.
- Si ce cas est rare, il est toutefois révélateur des précautions à prendre pour pratiquer des tests de dépistage de la Covid-19 auprès des patients ayant subi une trachéotomie ou une laryngectomie.
Aussi désagréables, voire douloureux, soient-ils, les tests PCR sont habituellement sans danger pour la santé.
C’est du moins ce que l’on pensait avant que le cas de cette femme soit mentionné dans les BMJ Case Reports. La patiente, âgée de 51 ans, a été hospitalisée au Royaume-Uni pour une opération du cerveau. Dans le cadre de l’intervention, elle a eu besoin d’un tube de trachéotomie pour respirer. Une incision a ainsi été faite dans la gorge pour insérer dans la trachée un cathéter. Avant qu’elle ne soit transférée dans une maison de convalescence, l’équipe médicale l’a soumise à un test de dépistage de la Covid-19.
L’écouvillon s’est brisé en deux
Une infirmière a alors tenté de faire passer un écouvillon par son tube de trachéotomie. Or, pendant la manœuvre, l’écouvillon s’est brisé en deux. L’état de santé de la patiente est alors subitement devenu instable et son niveau de saturation en oxygène a chuté avant de revenir à la normale.
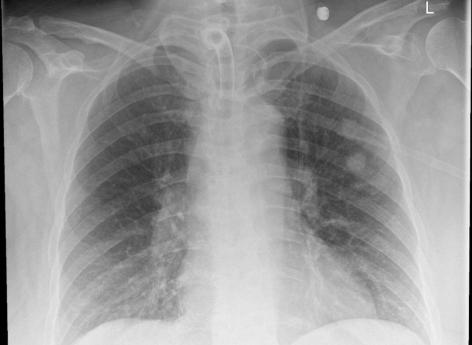
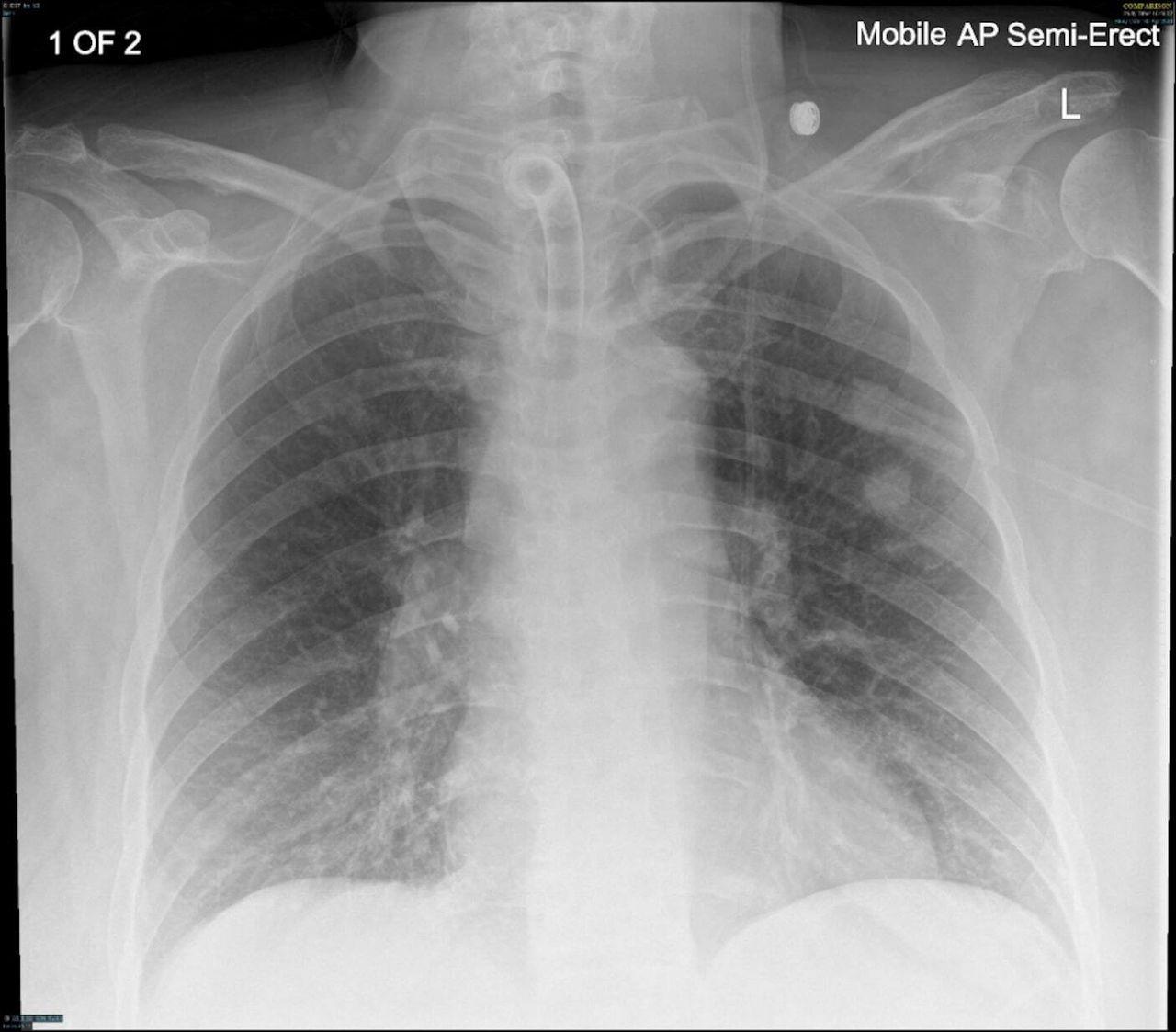
Pour localiser le morceau d’écouvillon, un scanner a été pratiqué qui, au départ, n’a rien montré d’anormal. Un nouveau scanner a ensuite mis en évidence des signes d’inflammation dans un poumon, ainsi qu’un rétrécissement des voies respiratoires.
Une endoscopie a été nécessaire pour retirer l’objet, qui s’était logé dans la bronche lobaire, la première subdivision des bronches principales à l'intérieur des poumons. L’écouvillon a été retiré avec succès.
Sensibiliser les professionnels de santé
Si ce cas reste extrêmement rare, il est cependant susceptible de se reproduire auprès de patients ayant eu une trachéotomie. Aussi, les auteurs de l’article espèrent sensibiliser les professionnels de santé, d’autant qu’ils estiment que les inquiétudes liées au risque de contamination par la Covid-19 peuvent augmenter la probabilité d'une erreur humaine
"Les patients dont les voies respiratoires sont à l'avant du cou, soit sous la forme d'une laryngectomie ou d'une trachéotomie, présentent un défi en termes de dépistage du SARS-CoV-2, expliquent-ils. Il est nécessaire de disposer d'orientations claires sur la manière de dépister le SARS-CoV-2 chez les patients dont les voies respiratoires sont situées à l'avant de la gorge. Cela dépendra de deux facteurs principaux. Premièrement, comment les voies respiratoires avant du cou affectent la biodistribution du SARS-CoV-2 dans la muqueuse de l'oropharynx et du nasopharynx et deuxièmement, la compréhension du risque d'aérosolisation accrue associé au prélèvement de tout échantillon sur un site de trachéotomie."


