Soigner certaines maladies inflammatoires avec un champignon responsable de maladie, c'est le procédé - a priori paradoxal - que trois équipes de l’Institut Pasteur, du Radboud University Medical Center (Pays-Bas) et de l’université Perugia (Italie) ont mis au point. Parue ce 6 mars dans PLOS Pathogens, leur étude décrit l’utilisation d’une molécule particulière du champignon Aspergillus fumigatus.
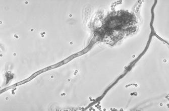
L’Aspergillus fumigatus est un champignon présent dans l’atmosphère, qui peut être dangereux pour la santé. Il provoque des infections respiratoires chez les personnes immunodéficientes. Il est responsable de la majorité des aspergilloses invasives, une maladie qui constitue la seconde cause de mortalité par infection fongique à l’hôpital. Mais, ce champignon pourrait aussi se révéler un allié pour notre santé. En effet, l’Institut Pasteur a identifié une molécule sur sa paroi dont les propriétés sont anti-inflammatoires.
La molécule galactosaminogalactan (GAG), un polysaccharide, inhibe l’interleukine 1 (IL-1), protéine qui active le système immunitaire, et donc aide l'organisme à de défendre contre les attaques d'agents pathogènes. Mais la GAG pourrait aussi guérir certaines inflammations qui impliquent l’IL-1. Dans un modèle expérimental de colite sur la souris, l’inflammation a été résorbée. A terme, il devrait être possible de traiter d’autres maladies inflammatoires auto-immunes, comme la goutte ou la polyarthrite rhumatoïde.


