La maladie cœliaque est une intolérance à une protéine présente dans beaucoup d'aliments (le gluten) qui cause des douleurs digestives, une diarrhée et un amaigrissement. Il ne s’agit pas d’une allergie vraie, mais d’une maladie auto-immune qui a des liens très forts avec les maladies inflammatoires du côlon et de l'intestin, mais qui s'étend au-delà de l'intestin. L'hypersensibilité au gluten, sans maladie cœliaque vraie, c'est-à-dire sans maladie auto-immune vraie (sans anticorps), est un syndrome qui prend de l'ampleur et qui pourrait être une forme mineure.
L’intolérance au gluten est appelée maladie cœliaque.
Il s’agit d’une maladie auto-immune déclenchée par l’exposition du tube digestif à une protéine que l’on retrouve dans de nombreuses céréales de l’alimentation.
Cette exposition répétée au gluten est responsable d’une réaction inflammatoire et immunitaire de la paroi de l’intestin grêle.
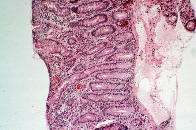
Cette réaction inflammatoire aboutit à une modification profonde de l’aspect de la muqueuse intestinale en histologie. Cette muqueuse, qui normalement présente de nombreuses villosités afin d’augmenter la surface d’absorption de l’intestin, s’atrophie et les villosités peuvent aller jusqu’à disparaître.
La maladie s’accompagne d’auto-anticorps dirigés contre le gluten et ses fractions.
Si elle n’est pas très marquée et apparaît à l’âge adulte, on parle de sensibilité au gluten.
L’intolérance au gluten est une maladie inflammatoire chronique de l’intestin grêle, le petit intestin, que les médecins appellent « maladie cœliaque ». C’est une maladie différente de l’allergie. Elle est provoquée par une réaction, à une protéine que l’on retrouve fréquemment dans l’alimentation : la « gliadine ». La gliadine est un composant du « gluten », un dérivé des céréales.
La maladie cœliaque se déclare donc après l’absorption d’aliments contenant du gluten, substance qui est présente dans de très nombreux aliments comme ceux contenant du blé dur, de l’épeautre, du kamut, de l'orge, du seigle ou un hybride de ces céréales comme le triticale.
Les personnes intolérantes au gluten déclenchent une réaction inflammatoire de la paroi de leur intestin à chaque fois qu’elles mangent des aliments en contenant. À la longue, cette réaction provoque des lésions de la paroi intérieure de l'intestin et aboutit à une atrophie des villosités, ces replis de l’intestin qui permettent d’augmenter la surface d’absorption de la majorité des nutriments, des vitamines et des minéraux.
L’inflammation chronique associée à une atrophie villositaire, est responsable d’une altération de la digestion : l’intestin grêle assimile moins bien la plupart des nutriments (protéines, sucres, graisses...), des minéraux (fer, calcium,…) et des vitamines (vitamine D, vitamine B9 ou « acide folique »...). Le malade peut souffrir d’une diarrhée chronique. Il maigrit et il peut exister de nombreuses carences alimentaires, ce qui peut entraîner une anémie, de l'ostéoporose, voire des cancers digestifs.

© Inserm/Assan, Roger
Le traitement consiste en l’exclusion totale du gluten de l’alimentation, ce qui permet la disparition de l’inflammation, le retour à la normale des capacités de digestion de l’intestin, l’arrêt de la diarrhée, une reprise de poids et la correction des carences.
Ce n’est pas une allergie, mais une réaction auto-immune. Contrairement aux symptômes allergiques qui surviennent immédiatement après l’ingestion d’un aliment mal toléré, les intolérances au gluten apparaissent de manière progressive et s’installent dans la durée.
On se rend compte de plus en plus maintenant, que chez des adultes apparaissent des symptômes proches de la maladie cœliaque, mais avec beaucoup moins d’intensité. Il s’agit dans ce cas « d’hypersensibilité » au gluten, qui est franchement moins grave, mais cependant handicapante. Le simple fait de supprimer le gluten de leur alimentation leur procure un confort réel.
La cause exacte de l’intolérance au gluten reste inconnue, mais elle serait d'origine immunitaire, avec une prédisposition familiale : la famille rapprochée d’une personne souffrant d’intolérance au gluten développe plus souvent la maladie : 10 % de risque chez les parents au premier degré, à savoir le père, la mère et les enfants éventuels.
Une origine génétique est donc très probable et 95 % des patients intolérants au gluten sont porteurs d’un ou deux gènes prédisposants (HLA-DQ2 et/ou HLA-DQ8). Cependant, 20 % de la population possède ces gènes favorisants sans pour autant présenter d’intolérance au gluten.
D'autres part, d’autres anomalies chromosomiques favorisent le déclenchement de cette pathologie, tels qu’une trisomie 21. Une maladie auto-immune de la thyroïde (glande sécrétant des hormones), une hépatite dite « chronique active » (provoquant une fibrose des tissus du foie), un diabète de type 1, une maladie inflammatoire de l'intestin et du côlon (risque de MICI multiplié par 9 lors de l'intolérance au gluten qui est elle-même augmentée au cours des MICI), un lupus… peuvent aussi être associés à une augmentation du risque d’intolérance au gluten.