- Un Indien âgé d’une trentaine d’années a présenté une tumeur massive sur sa paupière gauche.
- Ce patient était également touché par une rhinosporidiose, une infection parasitaire, au niveau de son œil gauche.
- D’après l’équipe médicale en charge de ce cas, la tumeur se serait développée en réponse à la présence du parasite dans le globe oculaire.
En Inde, un homme âgé d’une trentaine d’années a développé une tumeur de la taille d’un pamplemousse sur sa paupière gauche après qu’un parasite se soit reproduit au niveau de son globe oculaire.
Une tumeur associée à une infection parasitaire
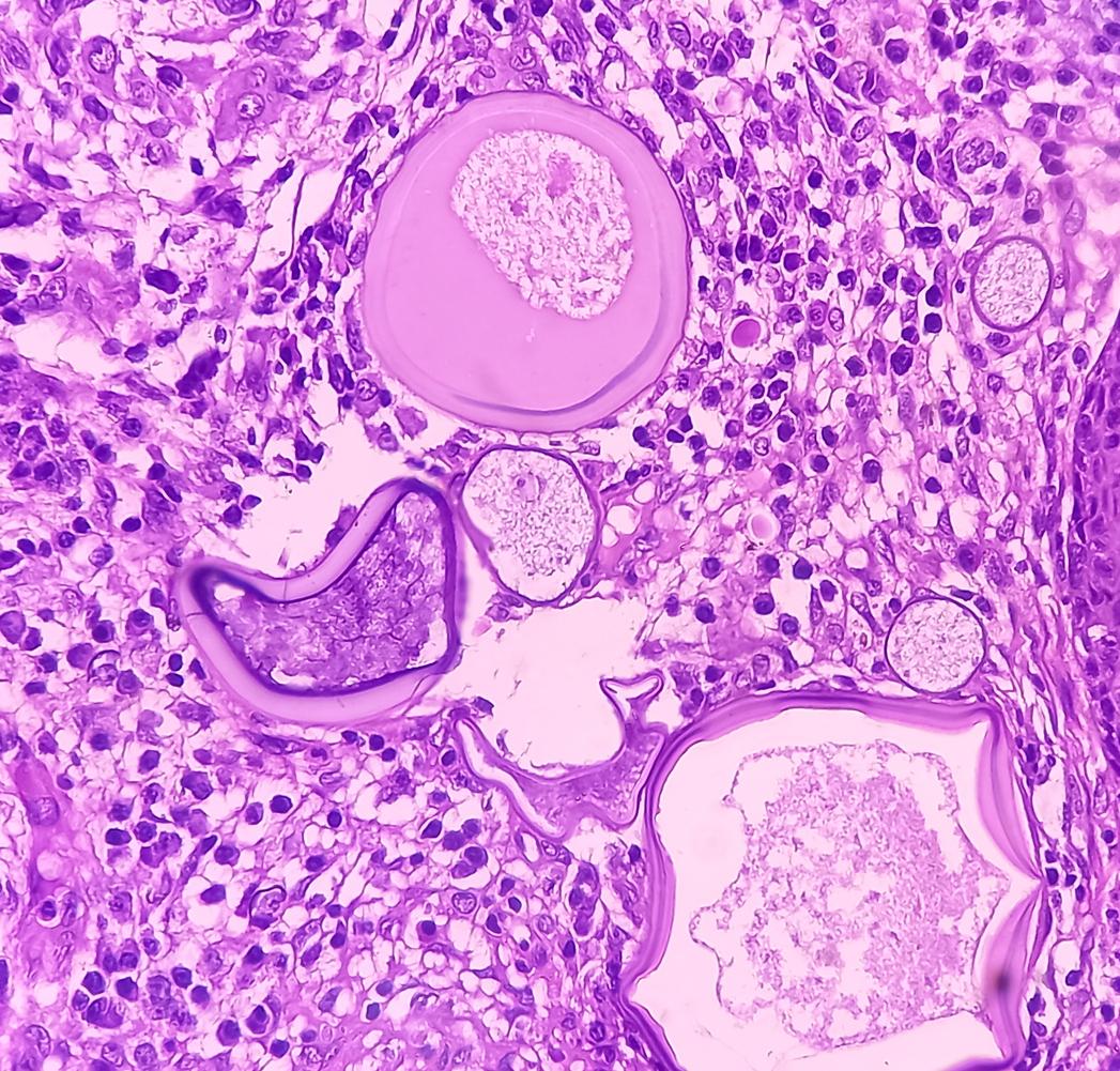
D’après les informations du Daily Mail, le patient a contracté un angiofibrome, une tumeur géante, qui avait débuté cinq ans auparavant par un léger gonflement de l’œil gauche. Au fil des années, cette tumeur a augmenté de volume et a obstrué son orbite. L’homme a alors perdu la vue du côté gauche.
Le patient a été pris en charge par des chirurgiens du All India Institute of Medical Sciences. La tumeur a été retirée lors d’une intervention chirurgicale. Elle mesurait quinze centimètres (cm) de diamètre et s'accrochait à un lambeau de tissu oculaire de quinze cm de long, mais elle n’était pas cancéreuse. D’après leurs conclusions, publiées dans le British Medical Journal, l’homme souffrait d’un angiofibrome associé à une rhinosporidiose, une infection parasitaire.
Un parasite principalement présent en Inde et au Sri Lanka
Considérée comme rare, l’infection par la rhinosporidiose intervient principalement dans les régions tropicales de l’Inde et du Sri Lanka. Les cas rapportés surviennent surtout après la baignade d’une personne dans des zones rurales ou des ruisseaux à proximité d’une ferme.
Pour l’équipe médicale, la tumeur est survenue en raison de la présence du parasite. Le corps a réagi à cette infection en enflammant les tissus environnants. Les médecins ne savent cependant pas depuis combien de temps le patient avait ce parasite au sein de son organisme ou comment il l’avait attrapé.
Malgré les nombreuses interrogations restantes, l’opération chirurgicale a été un succès. L’homme peut à nouveau voir, et son œil a retrouvé un aspect normal.


