Pendant de nombreuses années, on pensait que les particules d’encre des tatouages teintaient les cellules profondes de la peau, les « fibroblastes », dans le derme de la peau. Des études récentes avaient suggéré que c'étaient plutôt les macrophages de la peau (des globules blancs situés dans les couches profondes de la peau) qui « engloutissaient » le pigment du tatouage. Ces cellules sont des cellules nettoyeuses, des "phagocytes", qui avalent tout ce qui est étranger ou endommagé comme un agent envahisseur ou un morceau de cellule mourante.
Dans les deux cas, on présumait que la cellule porteuse de pigment vivait éternellement, permettant ainsi au tatouage d’être permanent. Ce n’est désormais plus le cas ! Le pigment passerait de cellules en cellules, au fur et à mesure de leur vie et mort naturelle. Ce qui laisse augurer d'une amélioration des procédés de retrait des tatouages : le détatouage.
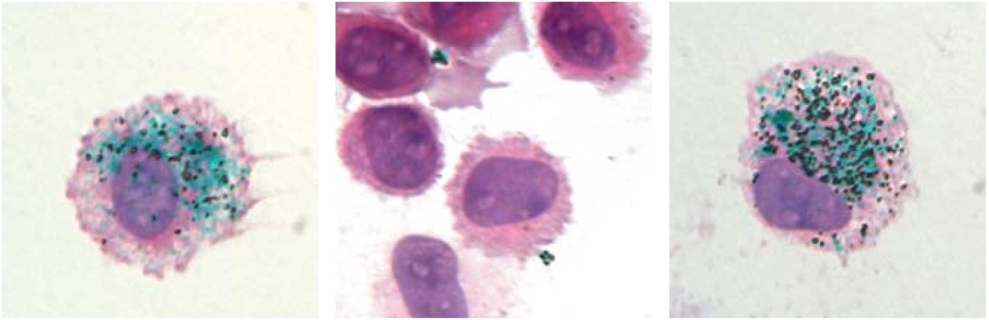
L’encre est capturée, puis libérée et recapturée
Cette hypothèse de la vie éternelle des cellules aurait dû être remise en question depuis longtemps tellement elle est farfelue, mais les explications de la persistance des tatouages est fournie par une étude de l’INSERM. Cette étude a été réalisée sur un modèle expérimental de souris génétiquement modifiée, souris qui est capable de tuer les macrophages hébergés dans son derme.
Au cours des semaines, les chercheurs ont observé que les cellules ainsi détruites avaient été remplacées par de nouveaux macrophages dérivés de précurseurs présents dans le sang et provenant de la moelle osseuse et connues sous le nom de monocytes. Et surtout, ces nouveaux macrophages avaient avalé le pigment libéré par les cellules mortes, poursuivant ainsi le cycle de la persistance de l'encre dans la peau.

Photo Inserm
« Nous pensons que, lorsque des macrophages porteurs de pigment de tatouage meurent au cours de la vie adulte, d’autres macrophages environnants recapturent les pigments libérés et assurent d’une manière dynamique l’apparence stable et la persistance à long terme des tatouages », explique Sandrine Henri, chercheuse Inserm et co-auteur de l’étude.
Des cellules mortelles, forcément mortelles
Les chercheurs ont ainsi découvert que les macrophages du derme étaient les seules cellules à absorber le pigment lors du tatouage. Malgré la mort programmée de ces macrophages, l’apparence du tatouage ne changeait. L’équipe a donc conclu que les macrophages morts libéraient localement le pigment dans la peau où, au cours des semaines suivantes, ce pigment était recapturé par de nouveaux macrophages. Cette recapture locale permettrait de conserver l’aspect initial du tatouage indéfiniment.
Non, les #tatouages ne sont pas vraiment indélébiles.
— Inserm (@Inserm) March 7, 2018
https://t.co/8qGrRbuBAs pic.twitter.com/R2OAbEecQN
Ce cycle « capture-libération-recapture » du pigment se produirait continuellement dans une peau tatouée. Les chercheurs ont également transféré un morceau de peau tatouée d’une souris à une autre et découvert que, six semaines plus tard, la plupart des macrophages porteurs de pigment dans la peau tatouée provenaient de l’animal destinataire plutôt que de l’animal donneur.
Tatoués et détatoués
Si le tatouage est à la mode, le « détatouage » est une tendance en plein essor, en particulier aux Etats-Unis. Près d’un quart des étudiants américains ont un ou plusieurs tatouages et la moitié d’entre eux demandent un traitement pour l’effacer quelques années plus tard.
Il n’y a pas si longtemps, pour effacer un tatouage, il fallait passer par la chirurgie, avec souvent une grosse cicatrice à la clé voire la greffe de peau. Aujourd’hui, le laser est le plus efficace et surtout le plus sûr. En fonction de la taille, de l’emplacement et surtout de la qualité de l’encre utilisée, une dizaine de séances suffit pour effacer totalement le dessin.
Les impulsions laser provoquent la mort des cellules cutanées et la libération et la fragmentation de leurs pigments qui peuvent ensuite être transportés loin de la peau via les vaisseaux lymphatiques qui la drainent.
Une amélioration du détatouage
« Le détatouage via cette technique laser pourrait probablement être amélioré par l’élimination temporaire des macrophages présents dans la zone du tatouage», ont déclaré les chercheurs de l’Inserm les chercheurs. « Ainsi, les particules fragmentées de pigment, générées au moyen des impulsions laser, ne seront pas immédiatement recapturées, ce qui pourrait augmenter la probabilité de les voir évacuées par les vaisseaux lymphatiques. » Long et coûteux, ce procédé, pour éviter les dangers, doit toujours se faire chez un dermatologue.
Rite initiatique dans une société qui n’en a plus ? Affirmation de son identité et de sa différence ? Esthétisme ? Le tatouage est devenu tendance et n’échappe désormais à aucune classe de la population. Mais on sait désormais que le tatouage n’est plus éternel.


