- Environ 8,2 millions de nouveaux cas de tuberculose ont été diagnostiqués en 2023 contre 7,5 millions l'année précédente.
- Il s'agit de la maladie infectieuse qui provoque le plus grand nombre de décès en 2023, dépassant ainsi la Covid-19.
- L'Inde, l’Indonésie, la Chine, les Philippines et le Pakistan sont les pays les plus touchés au monde.
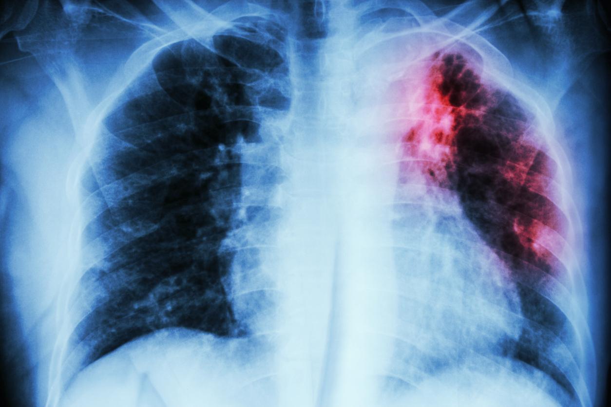
L’Organisation mondiale de la Santé (OMS) tire la sonnette d’alarme. La tuberculose, maladie infectieuse qui affecte le plus souvent les poumons, a présenté une nouvelle hausse des cas en 2023. Environ 8,2 millions de nouveaux cas de tuberculose ont été comptabilisés, selon son dernier rapport. Il s’agit ainsi du nombre le plus élevé enregistré depuis que l’organisme a commencé à suivre l’évolution de la maladie en 1995.
Tuberculose : plus de 10 millions de personnes vivent avec la maladie
Avec 8,2 millions de nouveaux cas enregistrés dans le monde en 2023, la tuberculose a fait une remontée importante par rapport aux 7,5 millions de cas signalés l’année précédente. "Ce qui place la tuberculose à nouveau comme la principale maladie infectieuse mortelle en 2023, surpassant la Covid-19", précise l’OMS dans son communiqué du 29 octobre 2024.
Ainsi, au total, l’agence estime qu’approximativement 10,8 millions de personnes vivaient avec l’infection respiratoire. En revanche, un signe encourageant a été repéré : le nombre de décès liés à la tuberculose a diminué de 1,32 million en 2022 à 1,25 million en 2023.
Le rapport remarque également une disparité importante entre les pays. L’Inde (26 %), l’Indonésie (10 %), la Chine (6,8 %), les Philippines (6,8 %) et le Pakistan (6,3 %) représentaient ensemble 56 % de la charge de la tuberculose dans le monde. Autre constat : 55 % des malades étaient des hommes, 33 % étaient des femmes et 12 % des enfants ou de jeunes adolescents.
"Le fait que la tuberculose continue d’atteindre et de tuer autant de personnes est un scandale"
L’OMS a identifié cinq facteurs de risques de tuberculose en étudiant les nouveaux cas diagnostiqués : la dénutrition, une infection par le VIH, des troubles liés à la consommation d’alcool, le tabagisme et le diabète. "Pour s’attaquer à ces problèmes, ainsi qu’aux déterminants essentiels tels que la pauvreté et le PIB par habitant, il convient de mener une action multisectorielle coordonnée", écrit l'agence.
L'Organisation mondiale de la Santé appelle ainsi les autorités gouvernementales et sanitaires à agir pour améliorer les prises en charge et la lutte contre la tuberculose. Le Dr Tedros Adhanom Ghebreyesus, directeur général de l’agence, ajoute : "le fait que la tuberculose continue d’atteindre et de tuer autant de personnes est un scandale, alors que nous disposons des outils nécessaires pour la prévenir, la détecter et la traiter. L’OMS exhorte tous les pays à tenir les engagements concrets qu’ils ont pris pour élargir l’utilisation de ces outils et mettre fin à la tuberculose."



