Le zona est une éruption douloureuse de la peau, qui se produit uniquement dans le territoire innervé par une racine nerveuse. Elle est due à une réactivation du virus varicelle-zona (ou VZV pour « Varicella-Zoster-Virus »), qui est le virus également responsable de la varicelle.
Dès l’âge de 50 ans la fréquence augmente et on dit qu’après 50 ans, près de la moitié des personnes « ont fait, font ou vont faire » un zona. Quand on sait que 10 à 15% des malades qui ont un zona vont avoir des douleurs séquellaires intenses et persistantes, douleurs qui sont une des premières causes de suicide de cause médicale (hors dépression), l’enjeu est de taille.
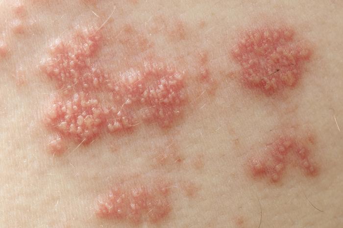
Une éruption qui brûle sur la peau
La présentation la plus fréquente du zona est celle du zona intercostal. Cette infection de la peau correspond à la réactivation du virus VZV qui était resté quiescent et caché au niveau d'un ganglion sensitif d'un nerf intercostal : la douleur et l’éruption cutanée suivent donc dans ce cas le trajet d’une côte. Il arrive que plusieurs racines nerveuses soient touchées simultanément.
L'éruption sur la peau peut être précédée pendant quelques jours par des douleurs (sensations de brûlures) ou des troubles de la sensibilité de la future zone concernée par l’infection.... Quelques heures ou quelques jours plus tard, l'éruption apparaît sur la peau ou la muqueuse dans le territoire innervé par la fibre nerveuse touchée.
Un virus qui se réactive
Après la guérison d'une varicelle, le virus reste endormi (« quiescent ») dans la racine de certains nerfs (« ganglion nerveux »). Des années plus tard, le plus souvent à l'occasion d'une baisse de l'immunité (âge avancé, mononucléose, simple stress, SIDA déclaré, certains cancers...), le virus se réactive dans un ou plusieurs ganglions nerveux.
De là, il remonte par les fibres nerveuses jusqu'à la peau (ou une muqueuse selon le nerf touché), provoquant une éruption qui ressemble à celle de la varicelle (vésicules disposées en grappes) et une douleur neurologique (brûlure, décharge électrique), mais uniquement au niveau de la zone innervée par les terminaisons nerveuses.
Le problème des séquelles
Près de 90 % des zonas guérissent sans séquelles en deux ou trois semaines. En cas d’immunodépression, la crainte est une extension du zona sur plusieurs zones du corps.
Mais dans 15% des cas environ, certaines complications peuvent apparaître, et en particulier, une douleur neurologique persistante et très invalidante de la racine neurologique concernée qui peut durer plus de six mois (« algies post-zostériennes »). Ces douleurs sont atroces et difficiles à traiter, ce qui pousse même certaines personnes à se suicider.
Complications particulières
Le zona peut être grave aussi en fonction de sa localisation. C’est le cas en particulier du zona ophtalmique qui peut abimer la cornée (ulcération) avec, en plus, une paralysie des mouvements oculaires et un risque d’infection. Tout ceci peut conduire à la perte de l'œil.
Le zona situé autour de l'oreille (zona otitique) peut provoquer une diminution de l'audition et parfois du goût, des bourdonnements d'oreille, des vertiges. Il peut surtout s’accompagner d’une paralysie faciale qui apparaît secondairement.
Un zona génital ou fessier peut entrainer une rétention d’urines d’origine neurologique.
Le traitement est peu efficace sur la douleur
Il faut absolument consulter très vite. En attendant la consultation avec le médecin, il est possible de calmer les signes du zona avec des douches quotidiennes à l'eau tiède en utilisant un savon surgras et en appliquant un antiseptique pour prévenir les surinfections (par exemple de la Chlorhéxidine en solution aqueuse). Il est aussi possible d’appliquer des compresses d'eau fraîche ou des pansements simples. Il ne faut surtout pas se gratter et il faut même se couper les ongles.
La corticothérapie, un temps utilisée, ne marche pas. Les antiviraux spécifiques ne marchent que sur l’infection et ne permettent absolument pas de prévenir les douleurs intolérables et persistantes, contrairement à ce qui est communément admis. Ces douleurs sont, par ailleurs, médiocrement contrôlées par les médicaments antidouleurs classiques, ce qui impose de rajouter des médicaments à visée neurogènes, comme des antiépileptiques et des antidépresseurs pour essayer de contrôler la douleur. Mais ces derniers peuvent donner des effets secondaires, et un risque de chute et donc de fracture par fragilité osseuse.
Prévenir plutôt que souffrir
Le seul traitement réellement efficace est de prévenir ces douleurs en prévenant le zona, et c’est possible dorénavant en vaccinant les personnes avec un vaccin qui est remboursé à 35% au-delà de 65 ans, mais dont le complément est pris en charge par les mutuelles.
Celui-ci est bien toléré et simple à réaliser (une seule injection) et il n’y a pas besoin de rappel. Et surtout le vaccin contre le zona est très efficace : les données de vraie vie dans une grande base de données anglaise montrent qu’il réduit le risque de zona de 60%, mais surtout, qu’il diminue le risque de douleurs neuropathiques après zona de 80%. Dans ces conditions, difficile de comprendre pourquoi seulement 7% des personnes de plus de 65 ans sont vaccinées contre le zona en France, contre plus de 60% au Royaume-Uni.



