- Une étude française confirme un lien entre la prise prolongée des progestatifs Colprone, Depo Provera et Surgestone et un risque accru de méningiome.
- Le risque de développer ce type de tumeur au cerveau est multiplié jusqu'à 5,6 fois selon le médicament.
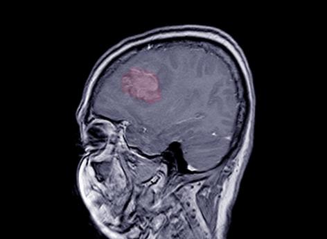
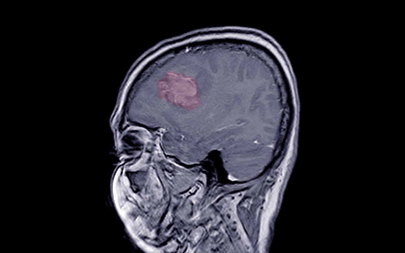
- Les patientes doivent réaliser un IRM en cas de signes de tumeur au cerveau ainsi qu'après un an de prise du traitement.
Alors que de précédents travaux avaient déjà mis en lumière un risque accru de tumeur au cerveau appelée méningiome après l’utilisation prolongée et à dose élevée des traitements progestatifs Androcur, Lutéran et Lutenyl, une étude du GIS Epi-Phare révèle un risque similaire avec 3 autres progestatifs : le Colprone, le Depo Provera et le Surgestone.
L’étude a été publiée dans la revue British Medical Journal le 27 mars 2024.
Progestatifs : des risques de méningiome jusqu’à 5,6 fois plus élevés
Les chercheurs français ont repris les dossiers de 18.061 femmes âgées de 45 à 74 ans (en moyenne 58 ans) et opérées d’un méningiome entre 2009 et 2018 en France ainsi que ceux de 90.305 femmes témoins. Les analyses ont révélé que l’utilisation prolongée (un an ou plus) de Colprone (traitement contre la préménopause, l'endométriose, les saignements ; substance active : medrogestone) est associée à un risque 3,5 fois plus élevé de méningiome. Les femmes qui ont pris sur une longue période le contraceptif injectable Depo Provera (acétate de médroxyprogestérone), ont 5,6 fois plus de risque de développer une tumeur au cerveau. Les patientes qui ont été exposées un an ou plus à la promégestone (Surgestone), avant la fin de sa commercialisation en 2020 en France, ont un risque multiplié par 2.
Pour l’équipe d’Epi-Phare, pas de doute : leur publication vient "à nouveau confirmer un effet des progestatifs sur le risque de méningiome intracrânien".
Et, concernant les dispositifs intra-utérins au lévonorgestrel comme les stérilets hormonaux Mirena, Donasert, Kyleena et Jaydess ? Les résultats sont "très rassurants et en faveur de l’absence de risque de méningiome".
Colprone, Depo Provera, Surgestone : une IRM recommandée en cas de signes de tumeur
Les 3 traitements étaient déjà dans le viseur des autorités sanitaires depuis plusieurs mois. À l’été 2023, l’ANSM avait indiqué que les recommandations faites aux patientes ayant pris du Lutéran ou du Lutényl, devaient être les mêmes pour celles utilisant du médrogestone (Colprone) ou de l'acétate de médroxyprogestérone (Depo Provera) "dans la mesure où les niveaux de risque de méningiome sont comparables".
Il est conseillé aux femmes utilisant ces produits de réaliser une IRM cérébrale en cas de signes évocateurs de tumeur au cerveau ainsi qu’après un an de traitement, 5 ans puis tous les deux ans. Les patientes ayant pris du Surgestone pendant plus d’un an doivent aussi consulter en cas de symptômes. Les signes à repérer sont :
- des maux de tête ou céphalées diffuses ou localisées : la douleur s’aggrave malgré la prise d’antalgiques ;
- des troubles de la vision, de la sensibilité, de la parole ou de la vue ;
- des troubles du comportement ou de la mémoire ;
- une faiblesse dans les bras ou les jambes, voire une paralysie ;
- une perte de l’équilibre et des vertiges, une perte de l’audition.



