- L’inhalation d’un objet est le passage dans les voies respiratoires d’un corps étranger par la bouche (ou plus rarement par le nez), souvent favorisée par une inspiration brusque et profonde (peur, surprise, sanglot, quinte de toux...).
- Elle survient plus fréquemment chez les jeunes enfants (jouets, billes, décorations…) et si l’objet bloque totalement les voies respiratoires, le risque majeur est l’asphyxie.
- Cette histoire peut rappeler un autre cas que nous avions rapporté en 2019 : celui d'une fillette de 9 mois qui avait été emmenée aux urgences, cette fois à cause de l'ingestion d'une étoile de Noël en plastique.
Si votre fête de Noël ne s’est pas passée comme vous le souhaitiez, l’histoire de cette famille de la région marseillaise vous donnera de quoi relativiser. En 2017, alors qu’ils s’étaient rassemblés pour célébrer Noël, la fête a pris un tournant dramatique.
La plus petite de la famille, âgée de 14 mois, commence à tomber malade le 23 décembre, deux jours avant Noël. Toux, éternuements, respiration difficile et sifflante... Les parents ne s'alarment pas plus que ça, puisque la fillette a déjà souffert de symptômes similaires. Ils prennent tout de même rendez-vous chez leur médecin traitant, qui leur signale que la respiration de l'enfant est bien anormale, mais qu’il n’y a pas de détresse respiratoire.
Trois semaines après, son état ne s'est toujours pas amélioré...
Or, trois semaines après avoir été traitée avec des médicaments anti-asthmatiques, son état ne s'est toujours pas amélioré contrairement à ce que l’on peut observer lors d’une banale infection virale hivernale. Les parents se résolvent donc à emmener leur fille aux Hôpitaux universitaires de la Timone à Marseille pour la faire ausculter.
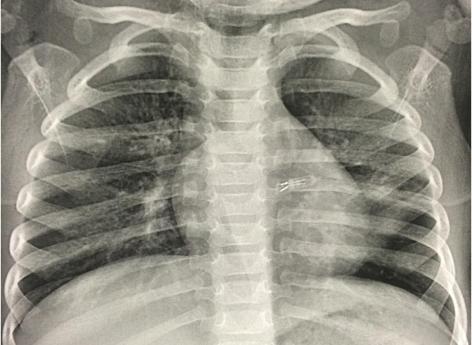
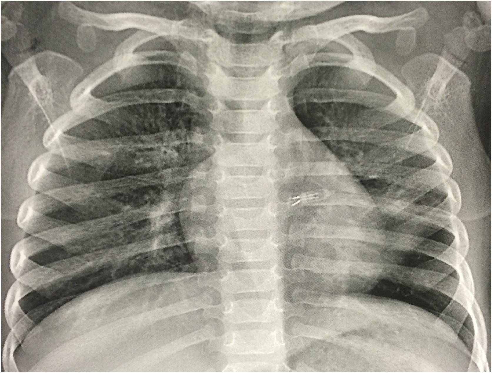
Elle passe une radiographie pulmonaire auprès des médecins du service de pneumologie pédiatrique. Et là, c’est la surprise : les images révèlent un objet en forme de U qui s’est logé dans la bronche gauche. Les internes comprennent alors que l'objet est en réalité une ampoule de guirlande lumineuse ! Et qu’elle est à l'origine des problèmes respiratoires de la petite.
Inhalation d'objet : un sujet à prendre au sérieux pour les parents
Les médecins enlèvent donc la LED des poumons de la très jeune patiente à l’aide d’une bronchoscopie effectuée sous anesthésie générale. Les symptômes disparaissent immédiatement après. Revenus à la maison, les parents découvrent qu'il manque bien une ampoule à la guirlande lumineuse décorant leur sapin de Noël. Personne ne sait très bien comment, mais leur fillette de 14 mois a réussi à inhaler la petite ampoule, vraisemblablement par les narines.
Finalement, plus de peur que de mal dans cette histoire, qui aurait pu se terminer de façon bien plus dramatique. En effet, avec les maladies répandues chez les enfants durant l’hiver ayant des symptômes similaires, comme de la toux ou une gêne respiratoire, les médecins auraient pu confondre ce cas hors norme avec une infection respiratoire classique. Surtout, les inhalations bronchiques de petits objets sont parfois mortelles chez les jeunes enfants : plusieurs cas d'enfants morts suite à l'inhalation de décorations de Noël ont été décrits dans la littérature médicale. Mais une inhalation d’ampoule de Noël, c’est un cas qui demeure extrêmement rare. Un seul autre cas similaire a été recensé en Chine.



