Une enseignante remplaçante exerçant dans le département de la Vienne a contracté la tuberculose. Le problème : par ses remplacements, elle est amenée à changer régulièrement d’établissement, multipliant ainsi les risques de contamination vers ses élèves. L’Agence régionale de santé (ARS) Nouvelle-Aquitaine lance une vaste opération d’information et de dépistage dans les sept écoles de la région de Châtellerault (1) où l’enseignante a travaillé ces dernières années.
Le 25 avril dernier, Tom, un garçon de 5 ans, était décédé d’une méningoencéphalite d’origine tuberculeuse au CHU de Poitiers. À l’école Roger-Plain de Smarves (Vienne), où l’élève était scolarisé, un dépistage avait été organisé dès les mois de mai. Auprès de toutes les personnes ayant été en contact rapproché avec lui dans un premier temps, puis en élargissant progressivement les recherches. L'enseignante avait exercé dans la classe de Tom.
Deux enfants avaient été testés positifs, mais ils étaient atteints d’une tuberculose pulmonaire, non contagieuse à ce stade, et ont été placés sous antibiothérapie. Mais en poursuivant les dépistages, l’Agence régionale de santé (ARS) Nouvelle-Aquitaine a identifié l’enseignante, qui a exercé dans la classe du petit Tom.
Patient zéro
La femme aurait pu contracter la tuberculose lors d’un voyage au Brésil il y a plus de trois ans. Si cette hypothèse venait à se vérifier, elle serait le patient zéro, à l’origine de la propagation de la maladie, et le dépistage s’en verrait facilité.
L’ARS Nouvelle-Aquitaine assure avoir pris « les mesures adaptées pour assurer un dépistage de la tuberculose dans l'environnement proche de cet enseignant », en particulier auprès de ses collègues et de l’ensemble du personnel de l’école Léo Lagrange de Châtellerault.
5 000 cas par an
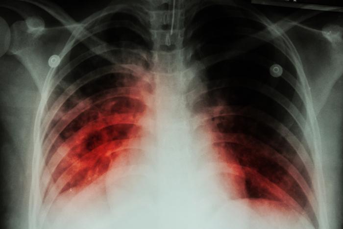
La tuberculose est une maladie contagieuse qui se transmet par voie aérienne, parfois une simple toux ou un éternuement. Elle se manifeste par des symptômes respiratoires, ainsi que de la fièvre, des sueurs, un amaigrissement. Elle se soigne avec des antibiotiques.
La vaccination contre la tuberculose (BCG) n’est plus obligatoire en France depuis dix ans. Elle est seulement conseillée pour des personnes à risque, notamment celles en contact avec des populations en provenance de pays où les cas de tuberculose sont nombreux. Elle sera proposée à tous les enfants qui auraient pu entrer en contact avec les trois enfants ou l’enseignante.
En France, près de 5 000 cas de tuberculose sont déclarés chaque année, faisant près de 400 morts. Un chiffre en baisse quasi constante depuis 2000.

Cas de tuberculose en France 2000-2015 (Source : InVS)
(1à ) Les écoles concernées se situent à Châtellerault (maternelles Léo-Lagrange et Matisse, élémentaire Lakanal), Targé (élémentaire, CE1 et CE2), Antoigné (maternelle), Leigné-les-Bois (élémentaire, CE2 et CM1) et Naintré (élémentaire, CP et CE1)


