- Des chercheurs ont réussi a créé des follicules pileux imprimés en 3D dans des tissus cutanés humains cultivés en laboratoire.
- Il faudra des années pour parvenir à mettre au point des greffes de peau où des cheveux peuvent pousser.
- Toutefois, cette découverte ouvre de nouvelles voies à la recherche dermatologique et à l'amélioration des greffes cutanées.
Lorsqu’on parle de greffe, les cheveux et les poils peuvent sembler superflus. Pourtant, les follicules pileux n’ont pas qu’un rôle esthétique. Ils participent à la régulation de la température corporelle en produisant la sueur, contiennent des cellules souches favorisant la cicatrisation ou encore sont des points d'entrées pour les médicaments topiques.
Ainsi, la création de follicules pileux à l’aide de l’impression 3D par l’équipe de l'Institut polytechnique Rensselaer est une avancée importante. Leurs travaux ont été présentés dans la revue Science Advances.
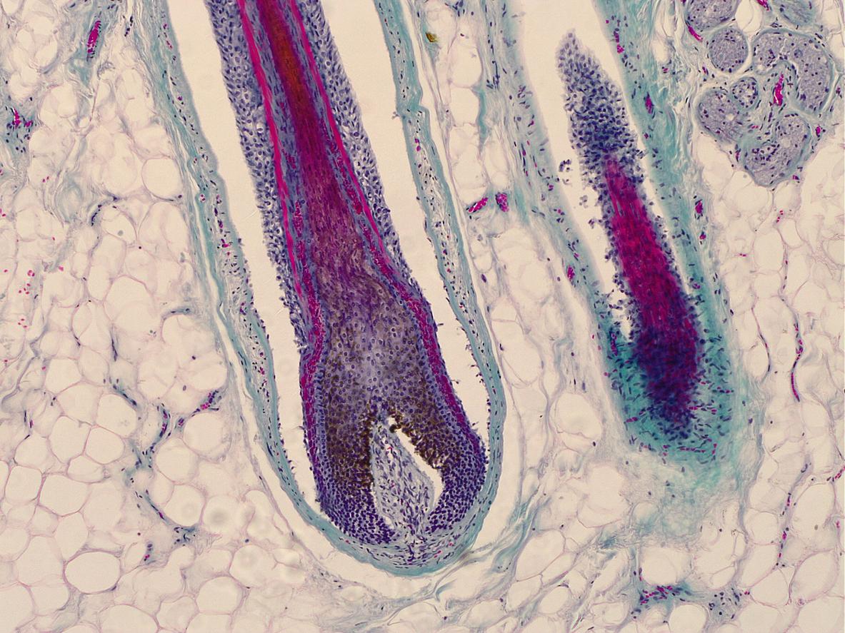
Peau : une "bio-encre" permet d’imprimer des follicules pileux en 3D
Les chercheurs qui étaient déjà parvenus à "imprimer” des tissus cutanés, ont cette fois-ci œuvré pour créer une peau porteuse de follicules. Ils ont commencé par permettre aux échantillons de cellules de peau d'origine humaine de se diviser et de se multiplier en laboratoire jusqu'à ce qu'il y en ait suffisamment. Ils les ont ensuite mélangées avec des protéines et d'autres matériaux pour créer une "bio-encre". Utilisant une aiguille extrêmement fine pour déposer cette substance, l'imprimante a “construit” la peau couche par couche, tout en créant des canaux. Au fil du temps, les cellules de la peau ont migré vers ces canaux et ont formé des structures folliculaires qui pourraient à terme se développer pour former des cheveux.
“Notre travail est la preuve que les structures des follicules pileux peuvent être créées d'une manière très précise et reproductible à l'aide de la bioimpression 3D. Ce type de processus automatisé est nécessaire pour rendre possible la future biofabrication de la peau”, explique dans un communiqué le Pr Pankaj Karande qui a dirigé l’étude.
"Certaines études ont montré que si ces cellules sont cultivées dans un environnement tridimensionnel, elles peuvent potentiellement créer de nouveaux follicules pileux ou tiges capillaires, et notre étude s'appuie sur ce travail", ajoute l’expert.
Cheveux, greffe de peau, test dermato : de nombreuses applications possibles
Toutefois, le spécialiste prévient qu’il faudra encore plusieurs années de recherche pour parvenir à créer des peaux permettant la pousse des cheveux. En effet, à l'heure actuelle, ces tissus ont une durée de vie de deux à trois semaines, seulement. La tige capillaire n’a pas le temps de se développer.
"Les travaux futurs de l'équipe visent à prolonger cette période, en permettant au follicule pileux de mûrir davantage". Si les scientifiques y parviennent, leur découverte pourrait avoir plusieurs applications importantes comme les greffes de peau ou l’amélioration des traitements pour les brûlures et autres affections cutanées.
L’impression en 3D de follicules pileux pourrait également être intéressante dans le domaine de la recherche dermatologique. En effet, les premiers tests de sécurité des cosmétiques et des médicaments topiques sont effectués sur des tissus cutanés artificiels. "Actuellement, les modèles de peau contemporains – structures d'ingénierie qui imitent la peau humaine – sont assez simples. L'augmentation de leur complexité en ajoutant des follicules pileux nous donnerait encore plus d'informations sur la façon dont la peau interagit avec les produits topiques", explique la Pr Carolina Catarino, première auteure de l'étude.



