- Un logiciel d'IA a été au moins aussi performant que les radiologues pour détecter la tuberculose à partir de radiographies pulmonaires.
- La tuberculose est une cause majeure de décès et de maladie dans le monde.
- L’IA pourra permettre de diagnostiquer davantage de cas de tuberculose et sauver des vies.
C’est une réelle avancée : une IA a réussi à détecter la tuberculose au moins aussi efficacement que des spécialistes. L'utilisation de ce logiciel pour analyser les radiographies à la recherche d'anomalies pourrait ainsi faciliter le diagnostic de tuberculose dans les régions où l'on manque de radiologues, d’après des chercheurs danois.
La tuberculose est une maladie potentiellement mortelle
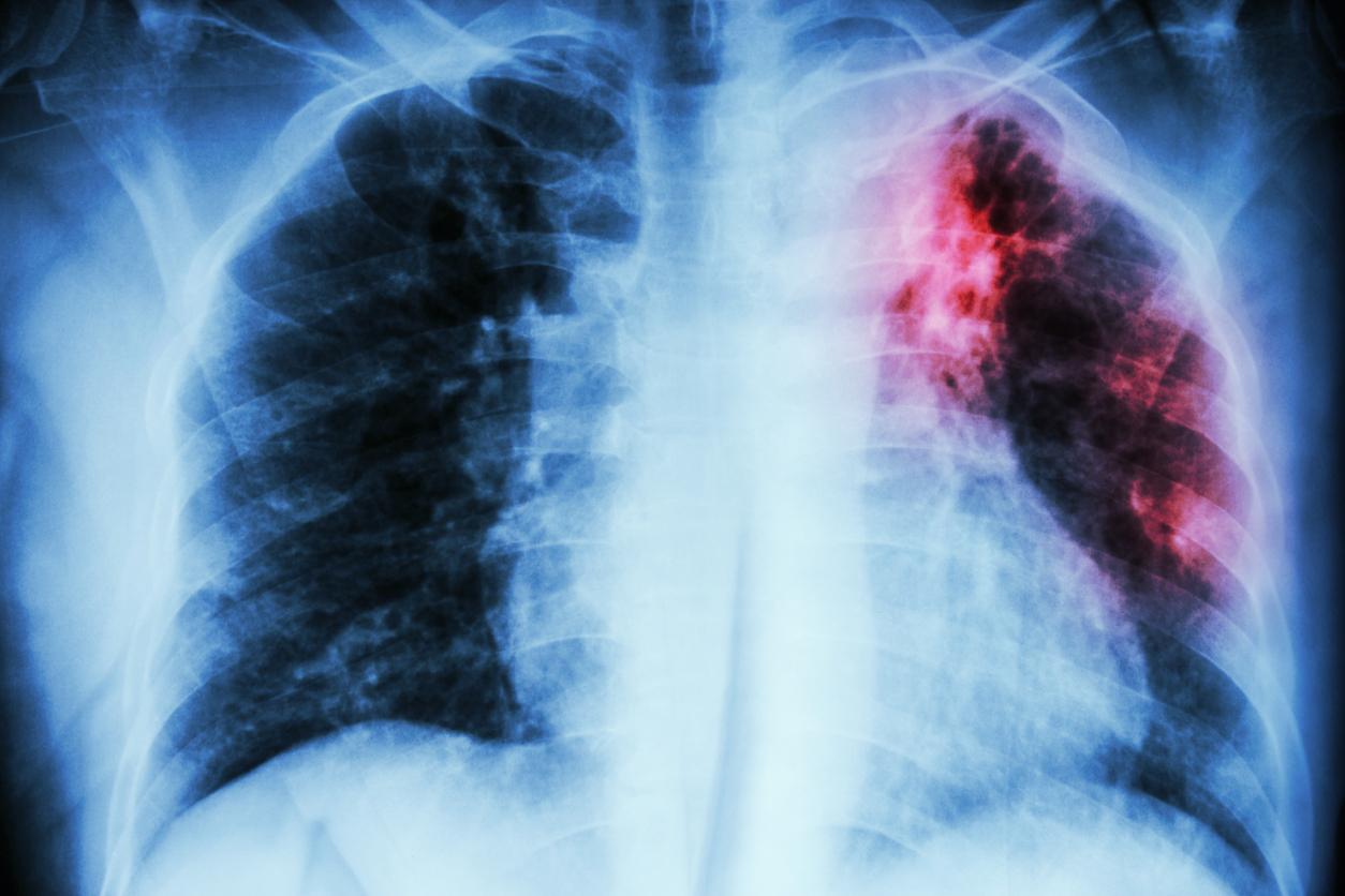
La tuberculose est due à une bactérie (Mycobacterium tuberculosis) qui touche le plus souvent les poumons. C’est une maladie que l’on peut prévenir et soigner, indique l’OMS. Elle se transmet d’une personne à l’autre par voie aérienne : "Quand une personne ayant une tuberculose pulmonaire tousse, éternue ou crache, elle projette des bacilles tuberculeux dans l’air. Il suffit d’en inhaler seulement quelques-uns pour s’infecter".
À l’échelle mondiale, la tuberculose est la 13e cause de mortalité et la deuxième due à une maladie infectieuse, derrière la Covid-19 (et avant le sida).
Les chercheurs ont présenté leur étude au Congrès européen de microbiologie clinique et des maladies infectieuses (ECCMID) à Copenhague (Danemark), qui avait lieu du 15 au 18 avril dernier. Pour mener leurs travaux, ils ont comparé les performances de ce logiciel d'intelligence artificielle dans l'évaluation des radiographies du thorax à celles de deux radiologues éthiopiens ayant des niveaux d'expérience différents.
Tuberculose : l'IA est efficace pour diagnostiquer la maladie
Et le constat est sans appel : le logiciel d'IA a été aussi bon, voire meilleur, qu'un radiologue.
Les radiographies du thorax de 498 patients ont été analysées rétrospectivement. Cinquante-sept (11 %) de ces patients avaient reçu un diagnostic de tuberculose, dont 41 cliniquement et 16 par des tests PCR (Xpert MTB/Rif). Ce test détecte simultanément le complexe Mycobacterium tuberculosis (MTBC) et la résistance à la rifampicine (RIF), spécifiques de la tuberculose, en moins de 2 heures.
D’après l'expérience, le logiciel d'IA a correctement identifié 75 % de tous les cas confirmés par PCR et 85,7 % des cas non tuberculeux. Le radiologue moins expérimenté a lui correctement identifié 62,5 % des cas confirmés par PCR et correctement identifié 91,7 % des cas non tuberculeux. Les évaluations du radiologue expérimenté étaient eux de 75 % pour les cas confirmés par PCR et de 82 % pour les cas non tuberculeux.
Diagnostique de la tuberculose : l'IA pourrait remplacer les radiologues en cas de besoin
Avec environ 3 millions de patients non diagnostiqués en 2021, il est urgent de développer de nouvelles stratégies et technologies visant à améliorer la détection de la tuberculose dans les environnements à faibles ressources et à forte incidence, a réagit le Dr Frauke Rudolf, du département des maladies infectieuses de l'hôpital universitaire d'Aarhus (Danemark) auteur de l’étude.
"Nous avons montré qu'un logiciel d'IA est au moins aussi efficace pour détecter la tuberculose qu'un radiologue qualifié et qu'une simple photo prise à l'aide d'un téléphone portable suffit pour l'analyse. Dans les régions à faibles ressources où l'incidence de la tuberculose est élevée mais où l'on manque de radiologues, les radiographies pulmonaires pourraient être photographiées à l'aide d'un téléphone portable et l'image envoyée serait analysée à distance par l'IA”, a-t-il déclaré.
Cela permettrait à un plus grand nombre de radiographies pulmonaires d'être lues correctement et, surtout, à un plus grand nombre de cas de tuberculose d'être diagnostiqués.



