- Selon une étude, les traumatismes crâniens augmentent les risques de développer un gliome.
- En présence de certaines mutations génétiques, les lésions cérébrales peuvent favoriser la transformation des cellules gliales.
- Le gliome est toutefois un cancer très rare.
N’oubliez pas votre casque lorsque vous faites du vélo, du ski et (évidemment) de la moto. En plus d’augmenter les risques de mort précoce, les traumatismes crâniens peuvent exposer les patients à un risque quatre fois plus élevé de gliome selon une étude du University College London Cancer Institute publié dans le journal Current Biology le 24 février 2023.
Les lésions cérébrales peuvent favoriser la transformation des cellules gliales
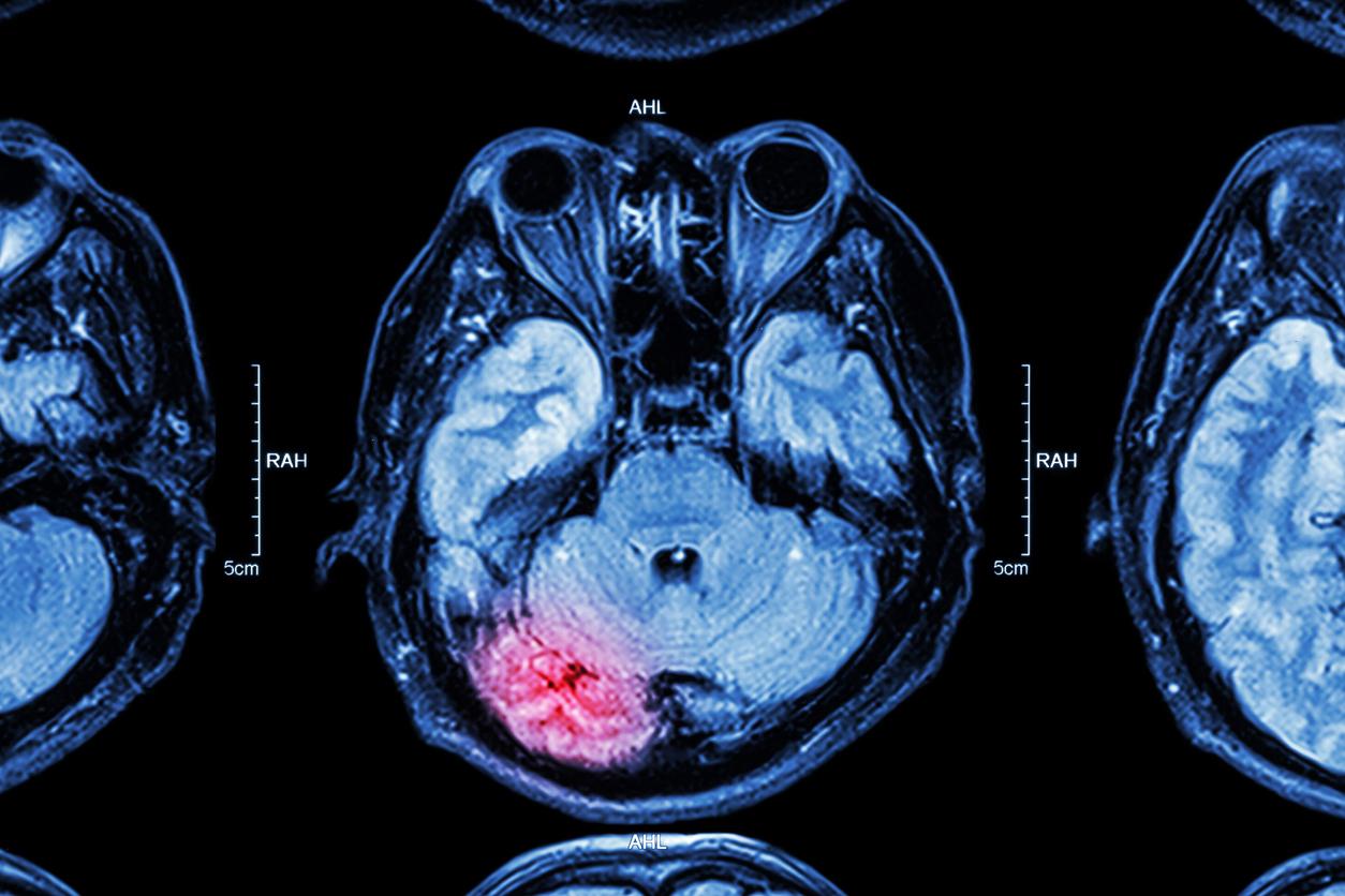
Le gliome est un type rare, mais agressif, de cancer au cerveau. Il survient dans les cellules gliales telles que les astrocytes. Ces dernières sont pourtant considérées comme "moins susceptibles de provoquer des tumeurs", expliquent les chercheurs du University College London Cancer Institute dans un communiqué. "Cependant, des découvertes récentes ont démontré qu'après une blessure, les astrocytes peuvent à nouveau présenter un comportement de cellule-souche", plus sujets à devenir cancéreuses, remarquent-ils.
Les scientifiques ont ainsi voulu vérifier si ces cellules gliales étaient capables de former une tumeur à la suite d'un traumatisme cérébral. Pour cela, ils ont injecté à des souris atteintes de lésions cérébrales une substance qui marquait les astrocytes et désactivait le gène appelé p53, connu pour jouer un rôle protecteur face à de nombreux cancers. Un groupe témoin blessé également à la tête avait toujours un gène p53 intact tandis que d’autres rongeurs sans traumatisme avaient un gène p53 inactif.
La responsable de la recherche, Pr Simona Parrinello, remarque : "Normalement, les astrocytes sont très ramifiés, mais ce que nous avons découvert, c'est que sans p53 et seulement après une blessure, les astrocytes avaient rétracté leurs branches et étaient devenus plus arrondies. Elles n'étaient pas tout à fait comme des cellules-souches, mais quelque chose avait changé. Nous avons donc laissé les souris vieillir, puis nous avons regardé à nouveau les cellules et avons vu qu'elles étaient complètement revenues à un état semblable à une tige avec des marqueurs de cellules de gliome précoces qui pouvaient se diviser."
Selon elle, cela suggère que les mutations de certains gènes entrent en synergie avec l’inflammation cérébrale induite par une blessure à la tête. Ce phénomène augmente avec le temps lors du vieillissement pour finalement rendre les astrocytes plus susceptibles d'initier un cancer.
Traumatisme crânien : un risque de tumeur cérébrale 4 fois plus élevé
Pour vérifier son hypothèse, l'équipe a consulté les dossiers médicaux de plus de 20.000 patients ayant eu des lésions cérébrales traumatiques. Les chercheurs ont constaté que les personnes qui avaient subi une blessure à la tête, étaient près de quatre fois plus susceptibles de développer un cancer du cerveau plus tard par rapport aux individus non blessés.
La professeure Parrinello indique : "nous savons que les tissus normaux portent de nombreuses mutations qui semblent ne pas avoir d'effets majeurs. Nos résultats suggèrent que si, en plus de ces mutations, une blessure se produit, cela crée un effet synergique". Elle remarque que chez les cerveaux blessés jeunes étudiés, l'inflammation était encore relativement faible, malgré la blessure. Cependant, avec le vieillissement, l'inflammation paraît s’aggraver au fil du temps, en particulier au niveau de la lésion. "Cela peut atteindre un certain seuil après lequel la mutation commence à se manifester", favorisant alors l’apparition d’un cancer, conclut-elle.
"Il est important de garder à l'esprit que le risque de développer un cancer du cerveau est globalement faible, estimé à moins de 1 % sur une vie, donc même après une blessure, le risque reste modeste", rassurent les scientifiques au terme de leur étude.



