- Un adulte est tombé malade de la tuberculose à Caumont-sur-Aure (Calvados)
- Depuis les années 70, les politiques publiques mises en oeuvre pour lutter contre la tuberculose ont fait progressivement reculer la maladie qui a touché 4 000 personnes en 2020
La tuberculose, véritable fléau à la fin du 18ème et au début du 19ème siècle, n’a pas disparu. Cette maladie infectieuse a été dépistée chez un homme qui s'occupait d'enfants pendant les temps périscolaires. Elle est provoquée par une mycobactérie, le bacille de Koch, qui se transmet par voie aérienne.
Nombreux signes
La tuberculose touche le plus souvent les poumons mais atteint aussi parfois d’autres organes. C’est une maladie transmissible par voie aérienne, par dispersion de gouttelettes de sécrétions bronchiques, à partir d'un malade contagieux, particulièrement lorsqu’il tousse.
Les symptômes de la tuberculose ne sont pas spécifiques : ce peut être une fièvre, un amaigrissement, des sueurs nocturnes. Elle peut donner de très nombreux signes : les plus évocateurs sont la toux prolongée.
Différences de symptômes avec la Covid-19
La Covid-19 et la tuberculose sont toutes deux à l’origine de symptômes respiratoires, comme de la toux et un essoufflement et provoquent toutes les deux une fièvre et une faiblesse générale. Mais l’une des différences majeures entre ces deux maladies est le délai d’apparition des premiers symptômes: plusieurs semaines voire plus pour la tuberculose contrairement à quelques jours pour la Covid-19. De plus, dans le cas de la tuberculose, les symptômes s’installent progressivement. Le nombre de cas de tuberculose déclarés en 2020 est en baisse de 10% en lien avec la pandémie de Covid-19, d'après Santé Publique France.
Germe responsable
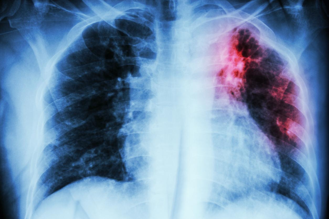
Le diagnostic de la tuberculose est assuré par des examens qui mettent en évidence le germe responsable sur des prélèvements (par examen microscopique, culture ou test d’amplification génique). D’autres examens comme les radios et scanners recherchent les lésions entraînées par la maladie. Comme il existe de nombreuses localisations possibles, d’autres tests d’imagerie ou de biopsie sont parfois nécessaires.
Le dépistage chez des personnes qui n’ont pas de symptôme ou ne s’en sont pas rendu compte, repose sur certains tests et examens : examen clinique, radio pulmonaire, examen bactériologique des expectorations (crachats) et/ou tests d’amplification génique.
La vigilance reste de mise
Bien que la maladie soit de moins en moins fréquente, la vigilance reste de mise au regard de la multiplication des souches bactériennes résistantes aux traitements habituellement efficaces.
L’obligation de vaccination chez l’enfant et l’adolescent a été suspendue en 2007, au profit d’une recommandation forte de vaccination des enfants les plus exposés à la tuberculose. Les Centres de Lutte contre la Tuberculose organisent des dépistages pour les personnes les plus à risque.


