Les patients en état végétatif, que l’on qualifie désormais plutôt d’éveil non-répondant, ne présentent aucun signe extérieur de conscience. Pourtant, leur activité cérébrale n’est pas nulle. Mais il est impossible de communiquer avec eux, à l’inverse de patients en état de conscience minimale, qui peuvent répondre par oui ou par non, en clignant des yeux, par exemple.
Mais impossible n’est pas britannico-canadien. Un célèbre neuroscientifique anglais, le Dr Adrian Owen, qui poursuit désormais ses recherches à l’université de l’Ontario de l’Ouest (Canada), utilise une méthode plutôt inattendue qui lui permet, chez certains de ces patients, d’établir une connexion par le langage.
Le tennis, c’est oui
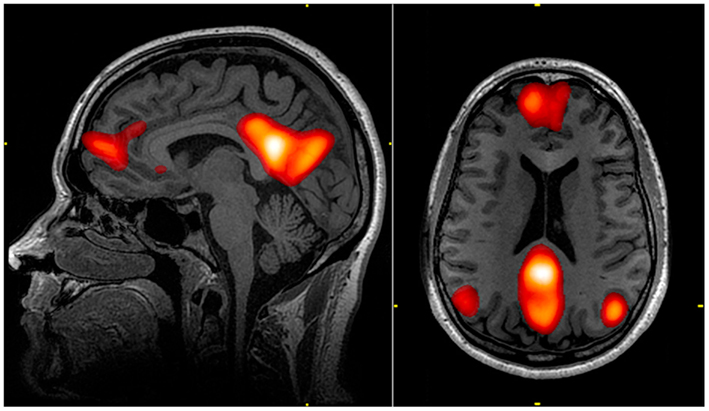
Le protocole est le suivant : l’interrogateur pose une question fermée. Si le patient victime de syndrome d’éveil non-répondant souhaite répondre « oui », il lui suffit de penser à un match de tennis pendant 30 secondes, et cela dix fois de suite, afin d’être sûr à 100 % qu’il répond bien à la question.
Cette pensée particulière stimule des zones denses en synapses dans le cerveau, au niveau du cortex pré-moteur. Toutes les actions, comme attraper la raquette, frapper la balle ou observer son mouvement sont imaginées. Ce pic d’activité est alors observé grâce à l’IRM fonctionnelle.
Une première expérience salvatrice
Cette procédure paraît simple, mais est en réalité l’aboutissement de 20 ans de recherches. Le Dr Owen a utilisé pour la première fois l’imagerie pour observer l’activité cérébrale en 1997. Sa première patiente, Kate, présentait un état végétatif total en apparence.
Le neuroscientifique a eu l’idée de traquer grâce à un scanner une réaction cérébrale à la vue de photos de sa famille. « À ma grande surprise, une réaction est apparue dans une zone du cerveau appelée le gyrus fusiforme (une zone allongée située sous les lobes cérébraux, ndlr), explique-t-il dans le Daily Mail. Cette zone est associée à la reconnaissance faciale. »
Quelques mois plus tard, Kate est sortie peu à peu de son état d’éveil non-répondant. Elle a même été capable de lui envoyer une lettre, des années plus tard, le sommant d’utiliser son cas pour promouvoir l’utilisation de l’imagerie cérébrale pour montrer l’état de conscience des patients dans son cas.
La révolution de l’IRM fonctionnelle
Le Dr Owen a par la suite commencé à utiliser l’IRM fonctionnelle qui, contrairement aux scanners ou IRM classiques qui rendent un cliché instantané, permet de suivre l’évolution de l’activité cérébrale, comme sur une vidéo, et en temps réel. Les zones actives sont repérées grâce à la quantité d’oxygène qu’elles utilisent.

Cliché d'IRM fonctionnelle du cerveau (Wikimedia Commons)
En 2012, ses recherches se sont poursuivies avec un homme qui avait été renversé par une voiture de police, en route vers une scène de crime. Le patient, Scott, ne présentait aucun signe de conscience, mais sa famille était persuadée qu’il était toujours là.
Le Dr Owen a tenté plusieurs protocoles : il lui a demandé de se regarder dans un miroir, de penser à toucher son nez, de tirer la langue… Aucune de ses actions n’a fonctionné. Jusqu’à ce qu’une de ses collaboratrices, Davinia Fernandez-Espejo, propose au patient de s’imaginer en train de jouer au tennis.
Première discussion
« J’ai encore la chair de poule quand je repense à ce qu’il s’est passé, confie le Dr Owen. Sur l’écran de contrôle, le cerveau de Scott s’est illuminé d’une myriade de couleurs. » Avec la permission de sa famille, il lui a immédiatement demandé s’il souffrait, après 12 ans d’état végétatif. Pour répondre « non », il lui a demandé d’imaginer un match de tennis. Le cerveau du patient s’est éclairé.
C’était la première fois que le Dr Owen parvenait à communiquer avec un patient dans cet état. La technique ne marche pas à tous les coups. Une fois sur cinq, affirme-t-il. Dans les autres cas, le cerveau des patients est trop endommagé pour permettre un quelconque échange.


