- En France, les arthroses du genou concernent 30% des personnes âgées de 65 à 75 ans.
“Environ 100 000 prothèses de genou sont posées chaque année en France, chiffre qui pourrait être multiplié par quatre d’ici 2070”, assure le centre hospitalier universitaire (CHU) de Lille dans un communiqué relayé par le site d’information 20 minutes. Cette prouesse, si elle a lieu, sera due à l’arrivée d’une innovation technologique dans cet hôpital : un robot orthopédique appelé OMNIBotics. Celui-ci devrait aider les chirurgiens à la pose de prothèses de genou.
Le robot aide à équilibrer les ligaments des genoux...
“Le CHU s’équipe d’un robot unique en France, permettant de réduire significativement les douleurs résiduelles chez les patients”, toujours selon la direction hospitalière. L’objectif d’OMNIBotics est notamment d’aider le chirurgien à équilibrer les ligaments du genou, une étape essentielle pour que l’extension et la flexion du membre du patient soient réalisées de manière optimale après l’intervention chirurgicale. Jusqu’à présent, seuls les chirurgiens sont habilités à réaliser cette tâche qui “pouvait occasionner 15 à 20 % de douleurs résiduelles chez les patients, nécessitant souvent une réintervention”, précise le CHU de Lille.
...ce qui aide les patients à mieux vivre avec leur prothèse
Cet outil pourrait donc devenir l’allié du chirurgien. En effet, il permet d'enregistrer plusieurs informations pendant l’opération qui permettront au professionnel de santé d’intervenir et de placer la prothèse plus facilement et de manière plus précise. “L’objectif, à terme, de l’utilisation de cette technologie est de permettre à nos patients de mieux vivre avec leur prothèse et de conserver une activité physique essentielle à leur santé générale”, assure Sophie Putman, chirurgien en orthopédie traumatologie au CHU de Lille. Cette technologie est déjà utilisée dans d’autres pays comme l’Australie.
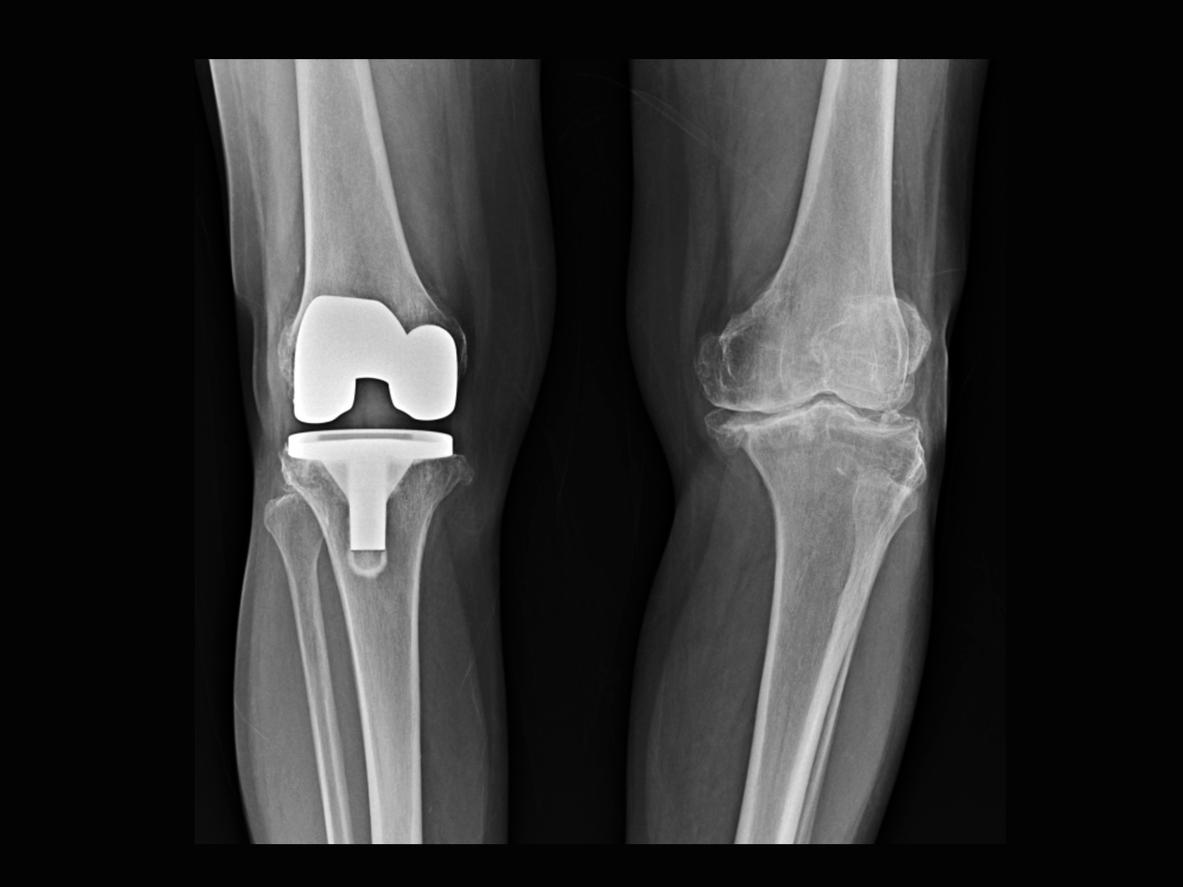
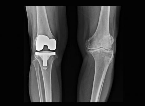
La pose de prothèse pour les personnes qui souffrent d’arthrose
Une opération chirurgicale pour mettre une prothèse du genou peut être proposée aux personnes souffrant d’arthrose mais uniquement si les autres traitements médicamenteux ne fonctionnent pas. Dès lors que la décision est prise, il existe différents types de prothèses, dont celles totales ou unicompartimentales - quand un seul compartiment du genou est touché par l’arthrose-, par exemple. La mise en place de ce type de dispositifs médicaux permet aux patients de retrouver une mobilité de flexion presque complète et une vie quotidienne normale incluant, s’ils le souhaitent, la pratique d’une activité physique. Néanmoins, la reprise sportive doit être progressive en post-opératoire et suivie par un professionnel de santé comme un kinésithérapeute.
Ne pas prendre l’avion après la pose d’une prothèse
En général, après la pose d'une prothèse de genou, la récupération de la mobilité articulaire peut prendre jusqu’à six semaines. Attention, avant de prendre l’avion il faudra solliciter un avis médical. En général, en raison des risques de phlébite et d’embolie pulmonaire, il faut attendre trois mois environ avant de pouvoir faire un vol.
En France, les arthroses du genou concernent 30% des personnes âgées de 65 à 75 ans.



