Commercialisé depuis les années 1980 par les laboratoires Bayer, l’Androcur est un progestatif prescrit pendant des années aux femmes souffrant d’hirsutisme, un développement extrême de la pilosité, contre l’acné, l’endométriose ou en guise de contraception. Appartenant à la classe des antiandrogènes stéroïdiens et contenant un principe actif appelé acétate de cyprotérone, l’Androcur est aussi utilisé chez les hommes pour traiter le cancer de la prostate à un niveau avancé.
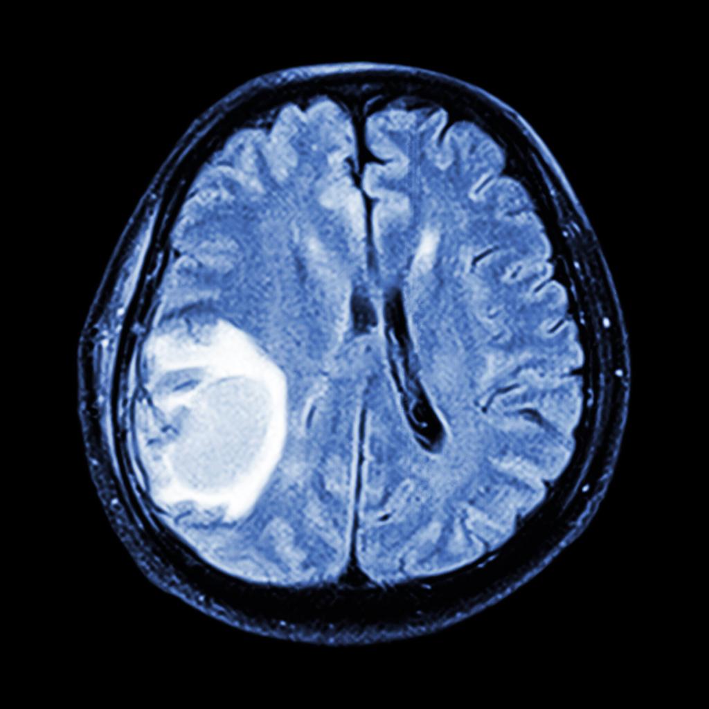
Mais en août 2018, une étude menée par l’Assurance maladie révèle que ce médicament est suspecté de multiplier jusqu'à 20 (après 5 années de traitement), et même plus, la probabilité de méningiomes, c’est-à-dire de tumeurs intracrâniennes, chez les femmes traitées longtemps et à hautes doses. Généralement bénignes, ces tumeurs peuvent occasionner de graves séquelles comme des troubles de la mémoire, de l’épilepsie ou une perte du goût et de l’odorat.
Une obligation d’informer et de suivre les patients
À partir du 1er juillet, tout nouveau patient débutant un traitement avec de l’Androcur ou un de ses génériques devra systématiquement être informé du risque de tumeur lié à son utilisation prolongée, a fait savoir l’Agence nationale du médicament (ANSM). Désormais, une fiche d’information sur le risque de méningiome devra donc être remise aux patients. Ces derniers ne pourront obtenir l’Androcur et ses génériques en pharmacie que sur la présentation obligatoire d'une attestation annuelle d'information qu'ils auront signée ainsi que le médecin prescripteur, à compter du 1er juillet pour les nouveaux traitements et du 1er janvier 2020 pour les renouvellements. Le bien-fondé de la prescription devra être réévalué chaque année.
"Cette information concerne principalement les femmes, l'acétate de cyprotérone, principe actif de ces médicaments, étant minoritairement prescrit aux hommes, notamment pour le cancer de prostate et les déviances sexuelles (castration chimique pour pédophilie et/ou viols à répétition)", explique à l'AFP le Dr Jean-Michel Race, endocrinologue, de l'ANSM.
Une IRM cérébrale devra systématiquement être prescrite pour les patients débutant leur traitement, et envisagée pour la poursuite du traitement. Tant que le traitement est maintenu, l'IRM suivante interviendra au plus tard 5 ans après la première, puis tous les deux ans si l'IRM précédente est normale.
Au moins 500 méningiomes imputables à l’Androcur
De son côté, l’Assurance maladie poursuit ses investigations pour mieux comprendre le lien entre l’Androcur et l’apparition des tumeurs du cerveau. Une enquête de pharmacovigilance a été commandée et ses résultats seront discutés le 18 juin lors de la réunion du Comité technique de pharmacovigilance.
En mars dernier, la Cnam avait édité une synthèse dans laquelle elle estimait à 500 minimum le nombre de méningiomes opérés ou traités par radiothérapie attribuables à l'exposition prolongée à l'Androcur à forte dose.
Dans l’attente de davantage d’informations, et pour répondre aux questions des patients et de leur entourage, l’ANSM a mis à disposition un numéro vert (0 805 04 01 10) accessible gratuitement du lundi au vendredi de 9h à 19h.


