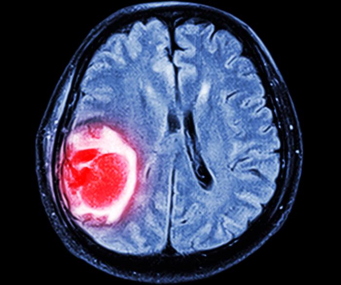
Un diagnostic de glioblastome du cancer du cerveau implique un pronostic très péjoratif, la plupart des patients mourant dans les cinq ans. Un espoir pour le traitement de masse du glioblastome est ouvert par une équipe dirigée par les chercheurs du Massachusetts General Hospital, à Boston : l'ajout d'hydroxyurée, un médicament déjà ancien, au protocole actuel de chimiothérapie augmente significativement la survie et la guérison, dans un modèle animal de glioblastome.
L’étude été publiée dans la revue Neuro-Oncology. « La combinaison a conduit à une augmentation significative de la survie sur différents modèles de souris, cela pouvant aller de 40% à 60% de guérison », se félicite Bakhos Tannous, l’auteur principal de l’étude.
Une avancée pour plusieurs types de glioblastomes
Avec ces résultats prometteurs, l'équipe a étudié cette combinaison dans plusieurs types de glioblastome. Bien que chaque médicament, pris individuellement, n’a eu qu'un effet modéré sur la croissance et la survie de la tumeur, la combinaison a très significativement amélioré son efficacité anticancéreuse.
« Le fait que la combinaison soit efficace dans tous les modèles cellulaires et animaux et qu’elle soit non sélective d’un type particulier de glioblastome est très enthousiasmant car cela suggère que la combinaison pourrait être efficace chez tous les malades souffrant de glioblastome », assure Bakhos Tannous. « L'hydroxyurée est utilisée depuis des décennies pour traiter des affections telles que la drépanocytose et certains types de cancers. Cela signifie que cette approche pourrait être accessible rapidement à beaucoup de malades et nous sommes en train de débuter un essai clinique de phase 1 pour tester cette association ».



