C’est une première mondiale qui a demandé énormément de travail aux chirurgiens. Le service de chirurgie de l’enfant du CHU d’Amiens (Somme) a réalisé avec succès une opération robotisée sur la colonne vertébrale d’un enfant de 6 ans atteint d’une grave scoliose. L’intervention a eu lieu le 28 septembre dernier.
Avant le Jour J, les Drs François Derrousen, Richard Gouron et Michel Lefranc, ainsi que leurs équipes, se sont entraînés pendant plus d’un an. Durant ces longs mois, ils ont simulé l’opération sur des mannequins et des colonnes vertébrales imprimées en 3D afin de tester tous les scénarios possibles.
Une opération délicate
Un travail acharné et minutieux car cette intervention chirurgicale est délicate. Le jeune patient, Louis, est atteint d’une amyotrophie spinale infantile. Une maladie génétique évolutive qui provoque une faiblesse musculaire gênait sa respiration et l’empêchait de s’asseoir. Il passait ses journées allongé sur le côté. Les corsets qu’il portait depuis son plus jeune âge étaient devenus inefficaces.
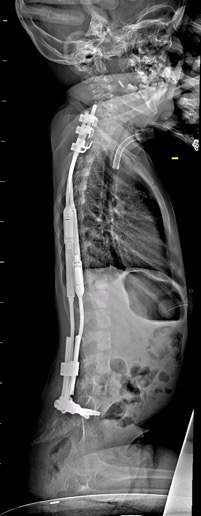
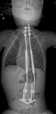
Seule solution pour soulager le petit garçon et freiner l’évolution de sa scoliose : l’implantation de vis dans son bassin et de crochets dans la partie supérieure de sa colonne vertébrale. Ces tiges en métal doivent suivre la croissance de l’enfant et ne bloquent pas les vertèbres qui peuvent encore grandir, a expliqué le CHU dans un communiqué.

Source : Radiographie de Louis, CHU d'Amiens-Picardie
« Leur pose à proximité des racines nerveuses reste très complexe et rare ; elles sont volumineuses au regard de la petite taille des os de l’enfant (vis de 7mm de diamètre à poser dans un couloir osseux de 8mm) », a ajouté l’établissement. L’utilisation du robot a permis aux chirurgiens de réduire le temps de l’intervention et la taille des incisions.
« C’est est une grande victoire »
Une dizaine de jours après l’opération, Louis se porte très bien. Hospitalisé dans le service de réadaptation de l’établissement picard, il respire mieux et peut désormais s’asseoir et regarder ses interlocuteurs dans les yeux. « C’est est une grande victoire », s’est réjoui le Dr François Deroussen, chirurgien orthopédique pédiatrique à l'origine de ce projet interrogé par France Bleu Picardie.
Dans les prochains mois, quatre jeunes patients vont pouvoir bénéficier de cette opération robotisée au CHU d’Amiens. Des chirurgiens d’autres centres pourront également être formé et proposer cette intervention à leurs patients.



