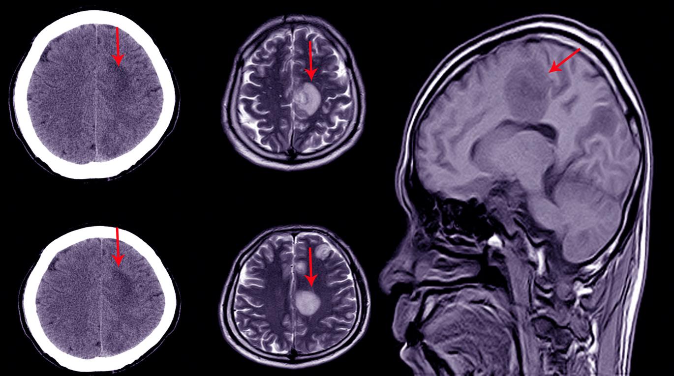
- L'hématome sous-dural est le plus fréquent des hématomes intracrâniens survenant après un traumatisme. Il se caractérise par un écoulement anormal de sang entre le cerveau et la dure-mère, qui enveloppe le système nerveux. L’hématome se trouve bloqué dans cet interstice et le sang s’y accumule jusqu’à provoquer une compression du cerveau.
- On distingue deux types d’hématomes sous-duraux : aigu (les symptômes apparaissent quelques minutes ou quelques heures après la lésion) ou chronique (ils se développent progressivement et lentement sur plusieurs semaines, voire des années).
- L’hématome sous-dural est généralement consécutif à un choc au crâne (accident, coup, bébé secoué...) ayant provoqué la lésion d’une veine, à l’origine du saignement. Le taux de mortalité en cas d’hématome aigu peut atteindre 90 % si le patient n’est pas opéré dans les 4 heures suivant le choc.
Le père de Dragon Ball nous a quittés. Le Japonais Akira Toriyama, créateur notamment du célèbre manga, est décédé le 1er mars à l’âge de 68 ans. D’après un communiqué publié sur X par sa maison d’éditions Shueisha et son studio Bird Studio, le mangaka est mort d’un "hématome sous-dural aigu". De quoi s’agit-il ?
L’hématome sous-dural est souvent causé par un traumatisme crânien
L'hématome sous-dural est le plus fréquent des hématomes intracrâniens survenant après un traumatisme. Il se caractérise par un écoulement anormal de sang entre le cerveau et la dure-mère, qui enveloppe le système nerveux. L’hématome se trouve bloqué dans cet interstice et le sang s’y accumule jusqu’à augmenter la pression intracrânienne et provoquer une compression du cerveau, ce qui peut causer de gros dégâts neurologiques.
On distingue deux types d’hématomes sous-duraux : aigu (les symptômes apparaissent quelques minutes ou quelques heures après la lésion) ou chronique (ils se développent progressivement et lentement sur plusieurs semaines, voire des années). L’hématome aigu, qui constitue une urgence neurochirurgicale, entraine des troubles de la conscience, des convulsions et parfois un coma. Lorsqu’il est chronique, comme c’est souvent le cas chez les personnes âgées ou alcooliques, il est responsable de somnolence, de maux de tête, de troubles du comportement ou encore de difficultés à parler.
Hématome sous-dural aigu : un taux de mortalité jusqu'à 90 %
L’hématome sous-dural est généralement consécutif à un choc au crâne (accident, coup, bébé secoué...) ayant provoqué la lésion d’une veine, à l’origine du saignement. Le diagnostic est posé grâce à un scanner ou une IRM cérébrale. Si les petits hématomes ont tendance à se résorber spontanément, les plus importants nécessitent une intervention chirurgicale. En l’occurrence un drainage, qui consiste à percer un trou dans la boîte crânienne pour évacuer l’hématome.
Le pronostic vital de l’hématome sous-dural chronique est plutôt bon, mais le taux de mortalité en cas d’hématome aigu est "d’environ 30 % si le patient est opéré dans les 4 heures qui suivent le choc" et "au-delà, il peut atteindre 90 %", affirme le neurochirurgien Marc Guénot auprès du Journal des femmes.
Japanese manga artist Akira Toriyama, known for creating the "Dragon Ball" series, died on March 1. He was 68.
— Rappler (@rapplerdotcom) March 8, 2024
BIRD STUDIO announced the news of Toriyama's death in a notice posted on Friday, March 8. https://t.co/UCYSte5Chi pic.twitter.com/u73iXKTb7U




