Elle n’avait que quatre ans. L’Hôpital Sud de Rennes (Ille-et-Vilaine) a annoncé le décès d’une fillette survenu la semaine dernière. Elle souffrait d’une méningite tuberculeuse, selon les informations du quotidien régional Ouest France. L’enfant était originaire des Côtes-d’Armor, où elle était scolarisée. Informée de ce cas, l’Agence Régionale de Santé Bretagne a lancé un dépistage ciblé.
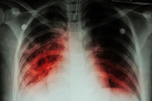
La campagne vise toute personne entrée en contact avec la victime plus de huit heures au cours du dernier trimestre. Les radiographies pulmonaires sont au cœur du dispositif. Les proches de la fillette devront en passer une dans l’immédiat et une seconde dans trois mois. Cette stratégie permet de mettre en place un traitement rapide.
La tuberculose a fortement reculé en France, grâce à la vaccination, mais la maladie infectieuse provoque environ 900 décès annuels, selon l’Institut Pasteur. Elle semble connaître une récente résurgence : au cours des derniers mois, plusieurs cas ont été signalés en milieu scolaire – notamment à Laon et Limoges. Le Pr Jean-Paul Stahl, infectiologue au CHU de Grenoble (Isère) revient sur les stratégies développées face à cette pathologie.
Les cas de tuberculose sont-ils fréquents en France ?
Pr Jean-Paul Stahl : Oui c’est une maladie qui reste fréquente (4800 cas ont été recensés en 2014, ndlr) et qui est potentiellement grave. Toutes les populations peuvent être touchées. Il existe deux tuberculoses différentes : celle de primo-infection, qui touche plutôt les enfants, et celle des personnes âgées, qui résulte plutôt d’une résurgence d’une contamination survenue plus tôt dans la vie.
Le diagnostic s’appuie sur une fièvre, et généralement une atteinte pulmonaire, mais pas toujours ; il peut aussi y avoir des méningites et des encéphalites. En général, elle n’est pas aiguë mais se prolonge. Cela explique aussi pourquoi le diagnostic est parfois posé avec un peu de retard.
Ecoutez l’intégralité de l’entretien avec le Pr Jean-Paul Stahl :
Qui est concerné par la vaccination BCG ?
Pr Jean-Paul Stahl : Le BCG n'est plus obligatoire, il concerne aujourd'hui les personnes à risque, soit parce qu’elles se rendent en région endémique, soit parce qu’elles appartiennent à un milieu social qui favorise la maladie. Ces personnes doivent être ciblées en priorité.
Quelle est la stratégie à adopter après la détection d’un cas ?
Pr Jean-Paul Stahl : La tuberculose est une infection à déclaration obligatoire. Les centres d’épidémiologie régionaux anticipent donc qui sont les personnes contact et leur proposent un suivi, et quelquefois un traitement. Par définition, le dépistage s’adresse à des personnes qui ne sont pas malades, ou souffrent de symptômes très peu importants. Etant donné la vitesse de progression de la maladie, nous ne sommes donc pas dans situation d'urgence vitale.



