Les invités du Dr Jean-Paul Marre :
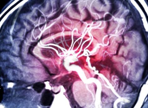
Le Pr Mickaël Mazighi, neurologue à l'Hôpital Lariboisière, à Paris, et chercheur INSERM, expliques les risque hémorragique associé à l'HTA souvent observée à la phase aiguë d'un AVC ischémique et décrypte la première étude randomisée sur la baisse de la pression artérielle
Le Pr Philippe Fossati, chef du service de psychiatrie au CHU Pitié-Salpêtrière, et chercheur INSERM, décortique les résultats d'une étude testant la psilocybine versus escitalopram parue dans le New England Journal of Medicine.
Et aussi :
• Accouchement, l'arrêt de la stimulation par l'ocytocine à la phase active du travail peut s’accompagner d’une légère augmentation du taux de césarienne mais apporte une réduction du risque d'hyperstimulation utérine et de la souffrance fœtale.
• Maladie inflammatoire du côlon et de l’intestin, l’interruption du traitement anti-TNF est possible lorsque le malade est en rémission mais la reprise du traitement doit être réalisée dès la récidive


