- Une étude finlandaise affirme que l'apparition d'hémorragie méningée - une forme d'AVC - est davantage provoquée par les habitudes de vie que la génétique.
- Dans leur étude, ils affirment que les jumeaux fumeurs ont 2,5 fois de risque d'avoir une hémorragie méningée que leurs co-jumeaux non-fumeurs.
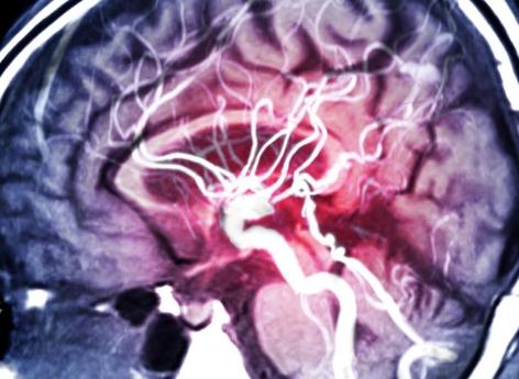
- Celui des jumeaux qui fume aurait 2,5 fois plus de risques d'avoir une hémorragie méningée que son co-jumeau non-fumeur
La cigarette pourrait-elle favoriser l'apparition d'une rupture d'anévrisme ? C'est l'intuition de chercheurs de l'Université d'Helsinki (Finlande) pour qui "l'une des plus grandes études de jumeaux à ce jour a suggéré que l'hémorragie sous-arachnoïdienne (SAH) [aussi appelée hémorragie méningée soit un AVC souvent provoqué par une rupture d'anévrisme, NDLR] est principalement d'origine non génétique, mais l'effet causal des facteurs environnementaux sur l'HSA est encore inconnu." Alors pourquoi pas le tabagisme dont la toxicité n'est plus à démontrer ? Pour voir si la cigarette a un effet, ou non, sur la survenue d'un AVC, ils ont cherché une réponse dans l'immense base de donnée d'une cohorte géante de jumeaux finlandais. À partir de ces résultats publiés le 17 septembre dernier dans la revue Stroke, ils assurent que le jumeau fumeur a trois fois plus de risque de mourir d'un AVC que sa paire ne fumant pas.
À la base de cette intuition, une précédente étude nommée "Nordic Twin Study" où les scientifiques avaient remarqué que "la plupart des paires de jumeaux étaient discordantes pour l'hémorragie méningée, c'est-à-dire qu'un seul des jumeaux en est mort" sans que "le rôle des facteurs de risque dans l'explication de cette discordance ait été étudié". Pour clarifier la raison selon laquelle un seul des jumeaux mourrait d'un AVC et non les deux, ils ont questionné l'immense base de données composée de 32 564 frères et sœurs jumeaux finlandais. Ils les ont classés par similarité génétique, sexe, ainsi que leur consommation de tabac - fumeurs légers (<10 cigarettes par jour), modérés (10-19 cigarettes/jours) et gros fumeurs (>20).
Tabagisme multiplie par 2,5 le risque d'hémorragie méningée
À partir de ces données, les chercheurs ont classé de nouveau les paires de jumeaux comme "discordante" si l'un des deux meure d'un AVC et pas l'autre, "concordante" si les deux mouraient d'un AVC. "Au cours du suivi de 869 469 personnes-années, nous avons identifié 120 événements mortels d'AVC - 71 femmes; âge médian au décès 61,4 ans", écrivent les scientifiques finlandais. Ils ont ensuite confronté ces résultats avec les facteurs à risque de l'alcool et le tabagisme. Faute d'un échantillon suffisamment large, ils ne savent pas si une forte consommation d'alcool (plus de 21 g d'alcool par jour) augmente le risque d'HSA mortelle. Cependant, ils calculent que le tabagisme provoque un risque accru d'hémorragie méningé de multiplié par 2,5.
Sur la cohorte de jumeaux de 16 282 paires de jumeaux de même sexe, ils remarquent que l'hémorragie méningée touche plus fréquemment les fumeurs. Sur 24 paires "discordantes", l'AVC emporte le jumeau fumeur dans 20 paires. Dans les 4 paires restantes, c'est le non-fumeur qui meure d'une hémorragie méningée. Les scientifiques notent que "le tabagisme augmentait le risque mortel d'hémorragie méningée quel que soit le sexe ou la zygosité des paires de jumeaux." Pour eux, le tabac peut provoquer l'hémorragie méningée.
Les scientifiques rappellent que la survenue d'une hémorragie méningée est davantage provoquée par le comportement que par le patrimoine génétique. Si le tabagisme semble le provoquer, il n'est pas le seul facteur. L'hypertension artérielle et le sexe féminin sont associés à un risque légèrement accru d'AVC, mais selon les chercheurs "aucune de ces associations n'était aussi évidente que la relation entre le tabagisme et l'hémorragie méningée." Cependant la taille de l'échantillon peut peut-être atténuer ce résultat tout comme la non-prise en considération des hémorragies méningées non-mortelles ou la trop faible part d'anciens fumeurs. Des limites qui selon les auteurs de l'étude ne remettent pas en cause la responsabilité du tabac dans l'apparition d'hémorragie méningée mortelle.


